진심을 담은 치과교정과 치과의원 진심을 담은 치과교정과 치과의원

Redo

재교정

13년 경력, 교정전문의 진료

재교정을 통해
완벽에 한 걸음 더

치아교정기 이미지

환자분의 잘못이 아닙니다.

교정 치료는 세심한 계획과 관리가 필요한 과정입니다.
초기 치료 계획의 완성도가 부족하거나 유지 관리 단계에서
세심한 점검이 이루어지지 않았을 경우 예상치 못한 결과로
이어질 수 있습니다.

이는 환자분의 의지나 노력과는 무관하며, 재교정을 통해
충분히 개선할 수 있습니다.

재교정이 필요한 경우

아름다움이 영원할 수 있도록,
결과에 대한 아쉬움이 남는 분들에게 권해드립니다

01

교정 후 치아 이동으로
인한 변형

02

교정 결과에 대한
미흡한 만족도

03

교합 문제 또는
기능적 불편함

04

교정 후 발생한
비대칭

13년 경력, 교정전문의 진료

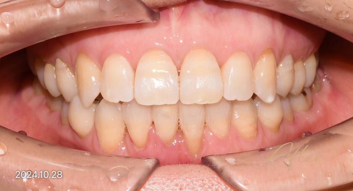
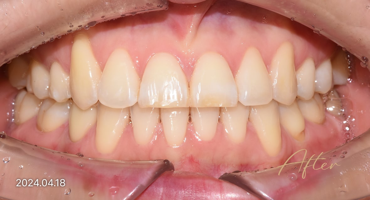
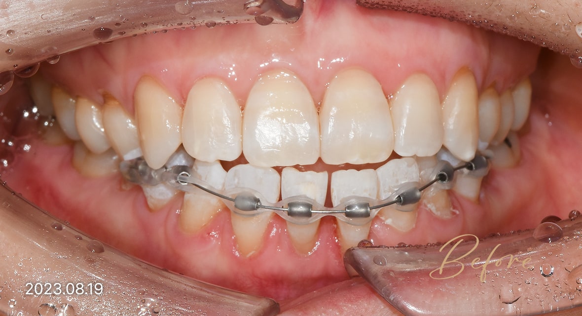
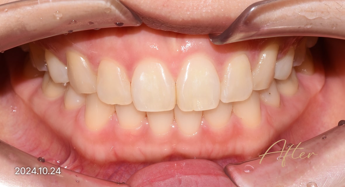
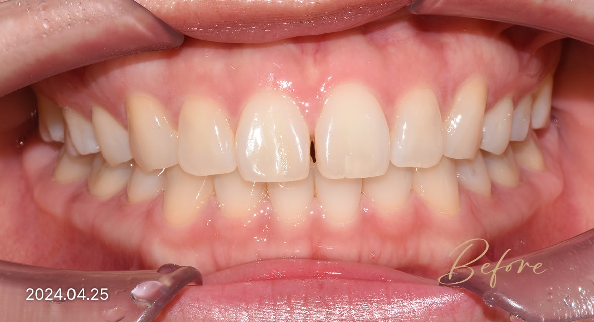
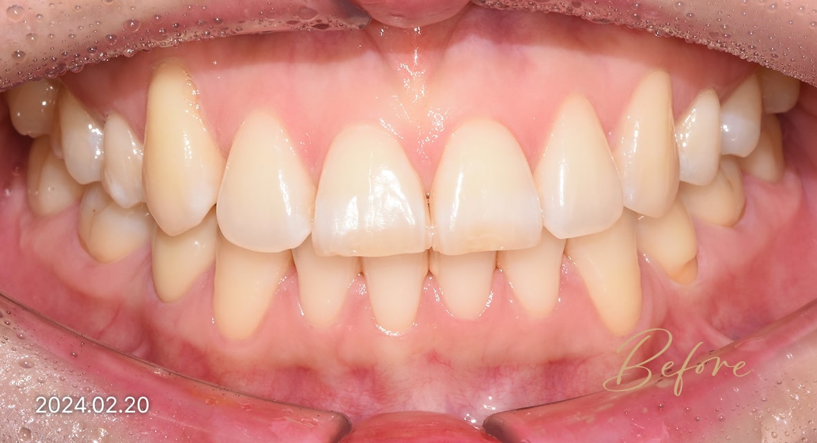
재교정 치료사례

본 사진은 진심을담은치과교정과 치과의원에서
치료한 환자의 동일 인물 전·후 사진입니다.
개인의 구강 상태 및 관리 방법에 따라 통증 및 잇몸 염증,
턱관절 불편감 등의 부작용이 발생할 수 있습니다.
치료 전 치료 후
치료 전 치료 후
치료 전 치료 후