진심을 담은 치과교정과 치과의원 진심을 담은 치과교정과 치과의원

Growth Period

성장기 교정

13년 경력, 교정전문의 진료

성장기 교정은
치료의 시기가 중요합니다

주걱턱 성장교정 : 6세

성장기 턱뼈 교정치료는 가장 흔한 치료 중 하나로,
조기 치료가 매우 중요합니다.

영구치가 나기 시작하는 만 6세부터 치료를
시작해야 하는 경우가 많으며, 성장단계 평가를 통해
치료 시기를 정확히 결정하는 것이 핵심입니다.

6살 아이 이미지

좁은턱(구개확장, 약 8세)

성장기 위턱뼈가 좁으면 아래턱뼈의 비대칭 성장, 비염,
입호흡 등 다양한 문제를 유발할 수 있으며, 부정교합
환자의 많은 사례에서 이러한 위턱뼈 문제가 발견됩니다.

호흡 문제는 학업에도 영향을 미칠 수 있어,
청소년기 전에 반드시 교정 치료를 권장합니다.

8살 아이 이미지

매복치, 덧니 : 10세 전후

매복치와 덧니는 주로 만 10세 전후에 발생하며,
특히 위턱 송곳니에서 흔히 나타납니다.

이를 방치하면 주변 치아와 턱뼈의 성장을
방해할 수 있으므로, 발견 즉시 교정치료를
시작하는 것이 중요합니다.

10살 아이 이미지

무턱 성장교정 : 12세 전후

무턱 성장교정은 사춘기 성장폭발기 전인
만 12세 전후에 필요한 중요한 치료입니다.

아래턱뼈 성장이 작은 무턱 환자는 기도가 좁아
입호흡과 비염이 흔하며, 교정을 통해 아래턱뼈
성장과 기도 확보를 도와 호흡과 일상생활, 학업
능률을 개선할 수 있습니다.

12살 아이 이미지

13년 경력, 교정전문의 진료

성장 발육을 활용하는 것이
치료의 핵심입니다

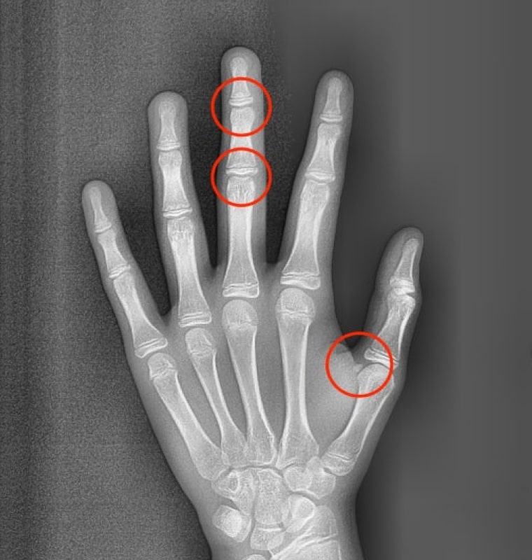
X-RAY 검사를 통한 발육 상태 진단
X-RAY 사진
STEP 01 종자골 미출현

종자골 미출현은 성장이 본격화되기 전의 상태로
초기 교정 및 예방적 치료를 시작하기에 적합한 시기입니다.

이 단계에서 적절한 교정 치료를 진행하면 성장기 동안
발생할 수 있는 심각한 부정교합 문제를 예방하고
이후 치료 효과를 극대화할 수 있습니다.

X-RAY 사진
STEP 02 종자골 출현 + 가운데 손가락 마디뼈 미융합

사춘기 급성장기의 초기 또는 중간 단계를 나타내며
이 시기에 교정 치료를 시작하면 골격 문제와 부정교합을
효과적으로 해결할 수 있습니다.

적절한 시기에 치료를 시작함으로써 성장기 동안
최상의 결과를 얻을 수 있습니다.

X-RAY 사진
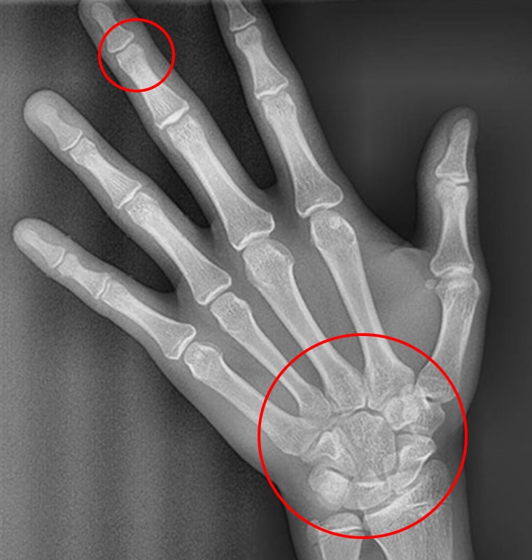
STEP 03 손목뼈 미융합 + 가운데 손가락 마디뼈 융합

손목뼈가 미융합 상태이면서 손가락 마디뼈가
융합된 상태는 성장기 후반부를 나타냅니다.

이 시기는 골격 교정보다는 치아 배열과 교합 정리에
중점을 둔 치료가 주로 이루어지며, 남아 있는 소량의
성장 여력을 최대한 활용하는 것이 중요합니다.

X-RAY 사진
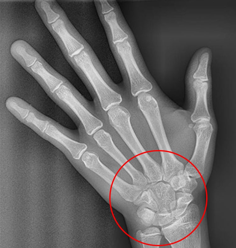
STEP 04 손목뼈 융합

손목뼈가 융합된 상태는 골격 성장이 완료된
단계를 의미하며, 더 이상 성장 조정은 불가능합니다.

이 시기에는 치아 배열과 교합 개선을 위한 정교한 교정
치료에 초점을 맞추며, 골격적 문제가 있는 경우 수술적
접근이 필요할 수 있습니다.

13년 경력, 교정전문의 진료

성장기 교정 치료의 장점

책임감 아이콘

교정 기간 단축

성장기 교정은 자연적인 성장을
활용하기 때문에 치료 기간을
단축할 수 있습니다

감동 아이콘

구강 건강 개선

교정을 통해 치열을 바로잡으면
구강 위생 관리가 쉬워지고
장기적으로 구강 건강이 좋아집니다

소통 아이콘

경제적 효율성

성장기에 부정교합을 교정하면
성인 교정에서 발생할 수 있는
추가적인 치료를 줄일 수 있습니다

소통 아이콘

기능적 개선

치아 배열과 턱의 위치를 정상적으로
만들어 씹기와 발음을 개선하고
턱 관절의 부담을 줄일 수 있습니다

13년 경력, 교정전문의 진료

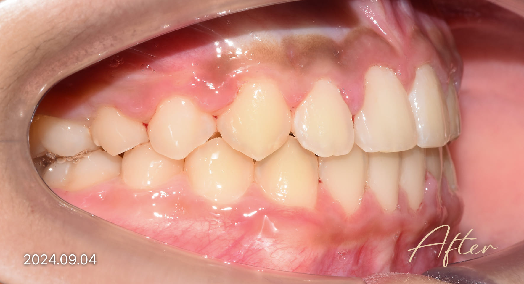
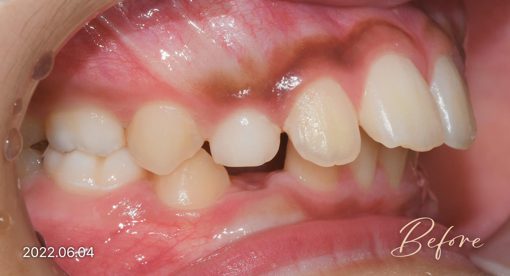
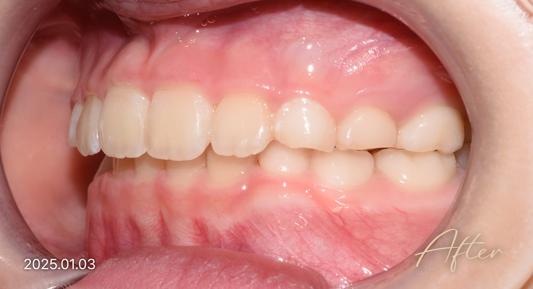
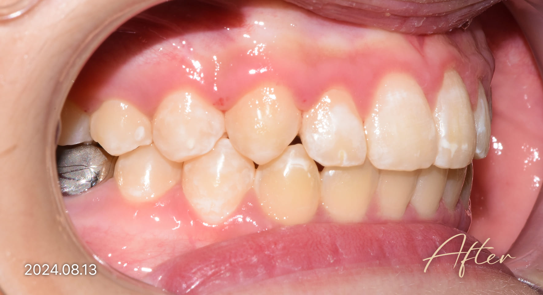
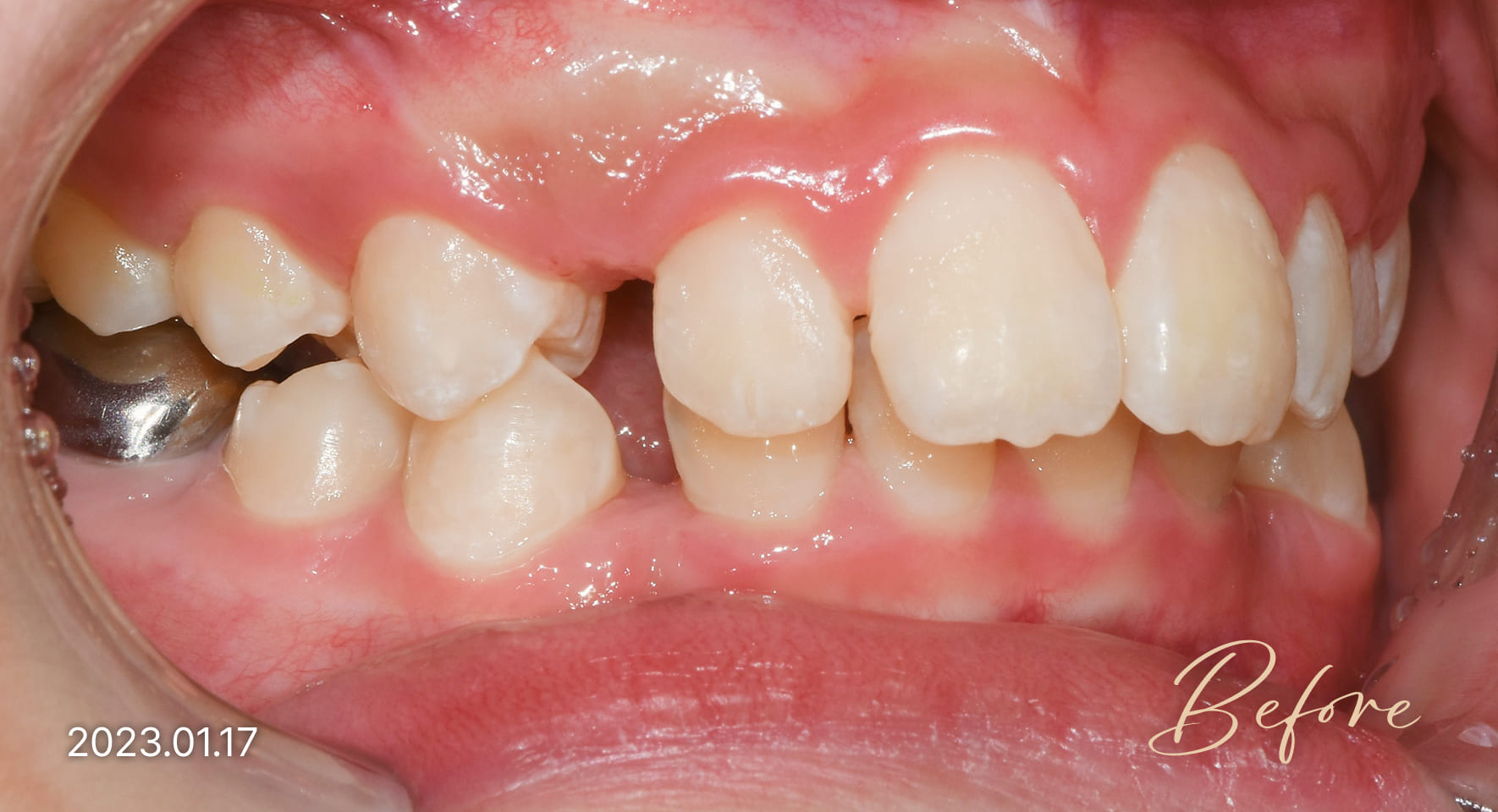
성장기 교정 치료사례

본 사진은 진심을담은치과교정과 치과의원에서
치료한 환자의 동일 인물 전·후 사진입니다.
개인의 구강 상태 및 관리 방법에 따라 통증 및 잇몸 염증,
턱관절 불편감 등의 부작용이 발생할 수 있습니다.
치료 전 치료 후
치료 전 치료 후
치료 전 치료 후