진심을 담은 치과교정과 치과의원 진심을 담은 치과교정과 치과의원

Part

부분 교정

13년 경력, 교정전문의 진료

짧은 시간으로 완성되는
가장 큰 변화

부분교정 시술 치아 이미지

부분교정이란?

부분교정은 전체 치아를 교정하지 않고, 문제가 있는
치아 몇 개의 배열만을 개선하는 치료 방법입니다.

짧은 기간 안에 심미성과 기능을 개선할 수 있기 때문에
바쁜 현대인에게 적합한 선택입니다.

부분 교정이 필요한 경우

윗니와 아랫니가 잘 맞지 않는 교합문제와 턱뼈 문제나 전반적인 치열 개선이
필요한 경우에는 부분교정이 아닌 전체 교정을 권장드립니다

01

오래 걸리는 전체 교정이
부담스러운 경우

02

치아 배열이
부분적으로 틀어진 경우

03

앞니의 경미한
불규칙이 고민인 경우

04

임플란트 식립을 위해
공간 확보가 필요한 경우

13년 경력, 교정전문의 진료

부분교정의 장점 3가지

비용 절감 이미지
01

치료 비용 절감

부분교정은 전체 교정에 비해 이동해야 할 치아의 범위가
적기 때문에 치료 과정이 간소화되어 비용 부담이 줄어듭니다.

필요한 부위만 교정하기 때문에 합리적인
비용으로 원하는 결과를 얻을 수 있습니다.

달력 이미지
02

치료 기간 단축

전체 교정보다 짧은 기간(평균 6개월~1년) 안에
치료가 완료되어 빠른 교정 효과를 기대할 수 있습니다.

시간이 오래 걸리는 턱 교정이나 큰 치아 이동이
필요하지 않아 바쁜 직장인이나 학생들에게 적합합니다.

미소짓는 여성 이미지
03

최소한의 이동

불필요한 치아 이동을 최소화하면서 앞니 배열이나
치아 간격 문제 등을 효과적으로 개선할 수 있습니다.

치아 전체 교합에는 영향을 주지 않으면서도,
자연스러운 미소를 만들 수 있습니다.

13년 경력, 교정전문의 진료

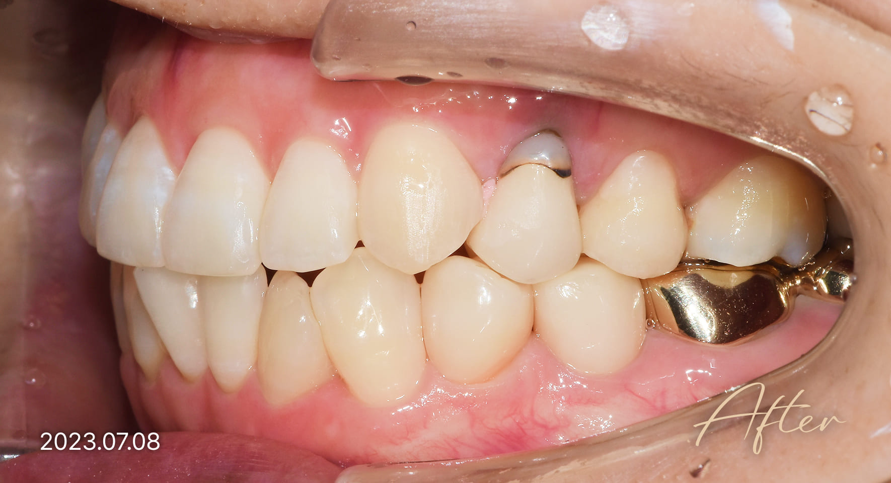
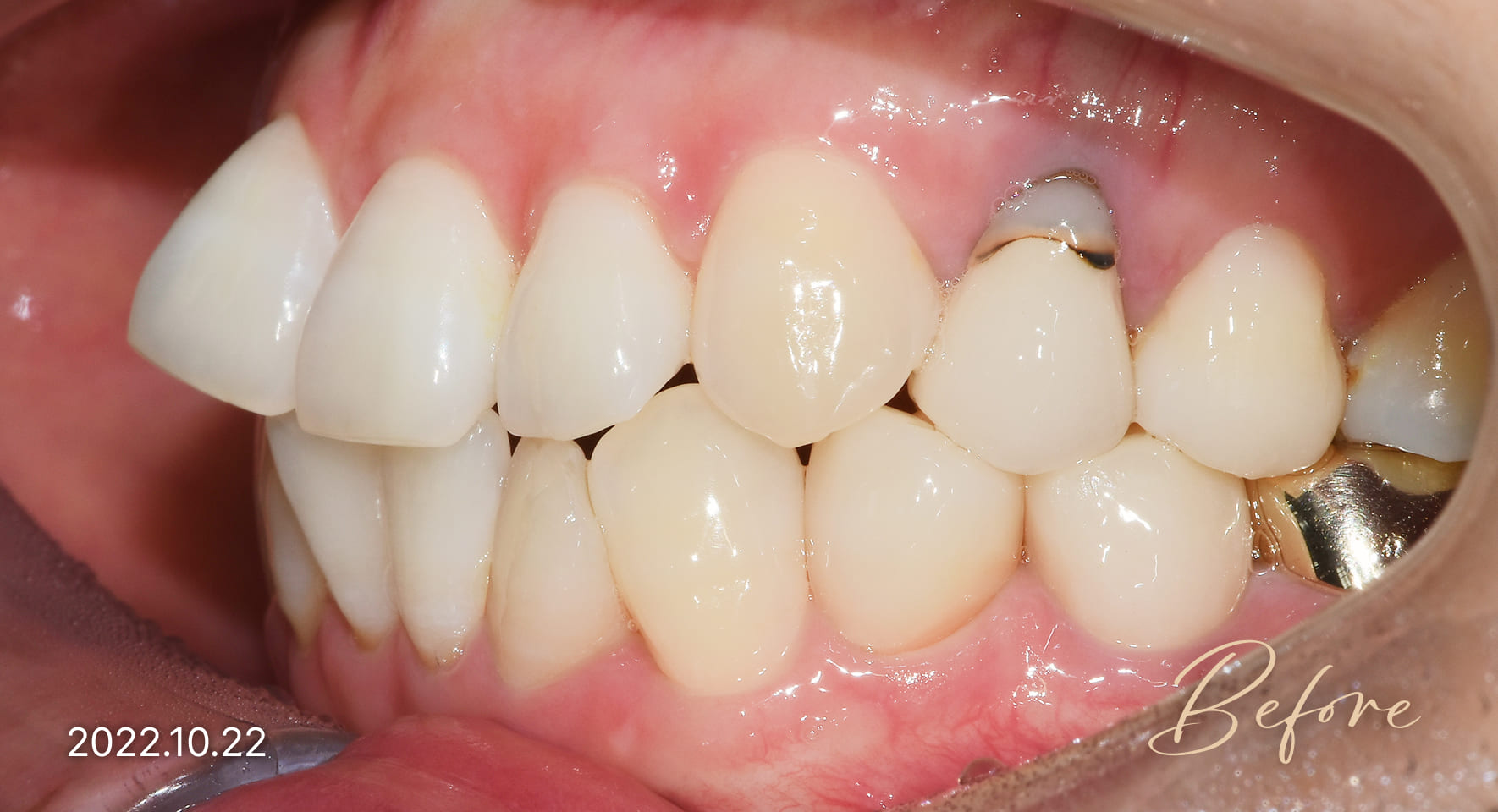
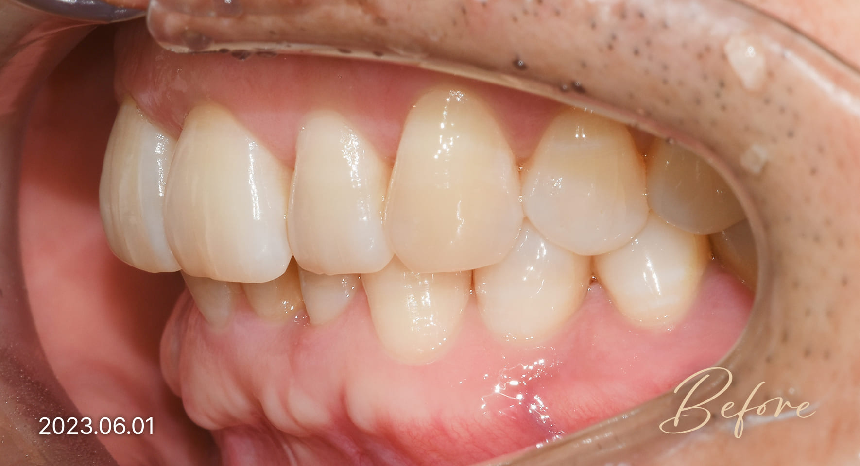
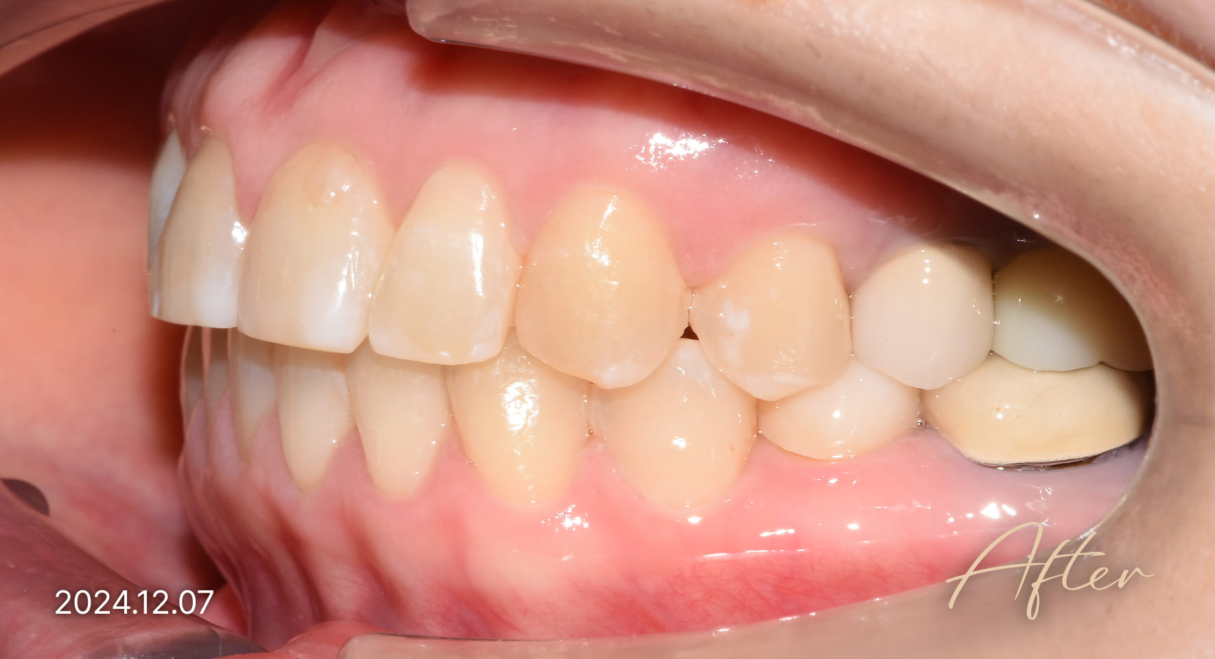
부분 교정 치료사례

본 사진은 진심을담은치과교정과 치과의원에서
치료한 환자의 동일 인물 전·후 사진입니다.
개인의 구강 상태 및 관리 방법에 따라 통증 및 잇몸 염증,
턱관절 불편감 등의 부작용이 발생할 수 있습니다.
치료 전 치료 후
치료 전 치료 후
치료 전 치료 후