진심을 담은 치과교정과 치과의원 진심을 담은 치과교정과 치과의원

Adult

성인 교정

13년 경력, 교정전문의 진료

고난이도 케이스?
오직 실력으로 치료합니다

0 의료사고 0건
0 의료소송 0건
0 소비자고발 0건

13년 경력, 교정전문의 진료

1mm의 디테일
작은 차이가 큰 변화를 만듭니다

치아 교정 이미지

돌출입 교정

Treatment

화난 얼굴, 옆모습이 걱정이였다면
교정치료로 해결 가능합니다.

치아 교정 이미지

무턱 교정

Treatment

얼굴의 균형을 깨뜨리는 무턱,
치아의 위치를 조정하여 해결 가능합니다.

치아 교정 이미지

덧니 교정

Treatment

활짝 웃는게 부담스러웠다면
교정치료로 당당한 미소를 되찾으세요.

치아 교정 이미지

비대칭 교정

Treatment

거울 속 삐뚤어진 얼굴, 비대칭을
바로잡아 자신감을 되찾으세요.

치아 교정 이미지

매복치 교정

Treatment

매복치는 치아 배열, 턱관절 기능, 심미성에
복합적인 영향을 미칠 수 있습니다.

치아 교정 이미지

주걱턱 교정

Treatment

앞으로 돌출된 턱, 교정 치료로
균형 잡힌 얼굴 라인을 완성하세요.

13년 경력, 교정전문의 진료

비발치 교정을 지향합니다

치통 이미지

비발치 교정의 장점

체크 아이콘 자연 치아 보존으로 환자의 구강 건강 유지
체크 아이콘 발치로 인한 부작용(출혈, 통증, 회복 시간 등) 최소화
체크 아이콘 치열 확장, 공간 확보 등을 통해 치료 기간 단축

자연 치아를 보존하는 것은 환자의 장기적인 구강 건강과 심미성을
지키는 데 매우 중요합니다. 다만, 최선의 결과를 위해 발치가 필요할
경우 충분한 상담과 신중한 결정을 바탕으로 진행합니다.

13년 경력, 교정전문의 진료

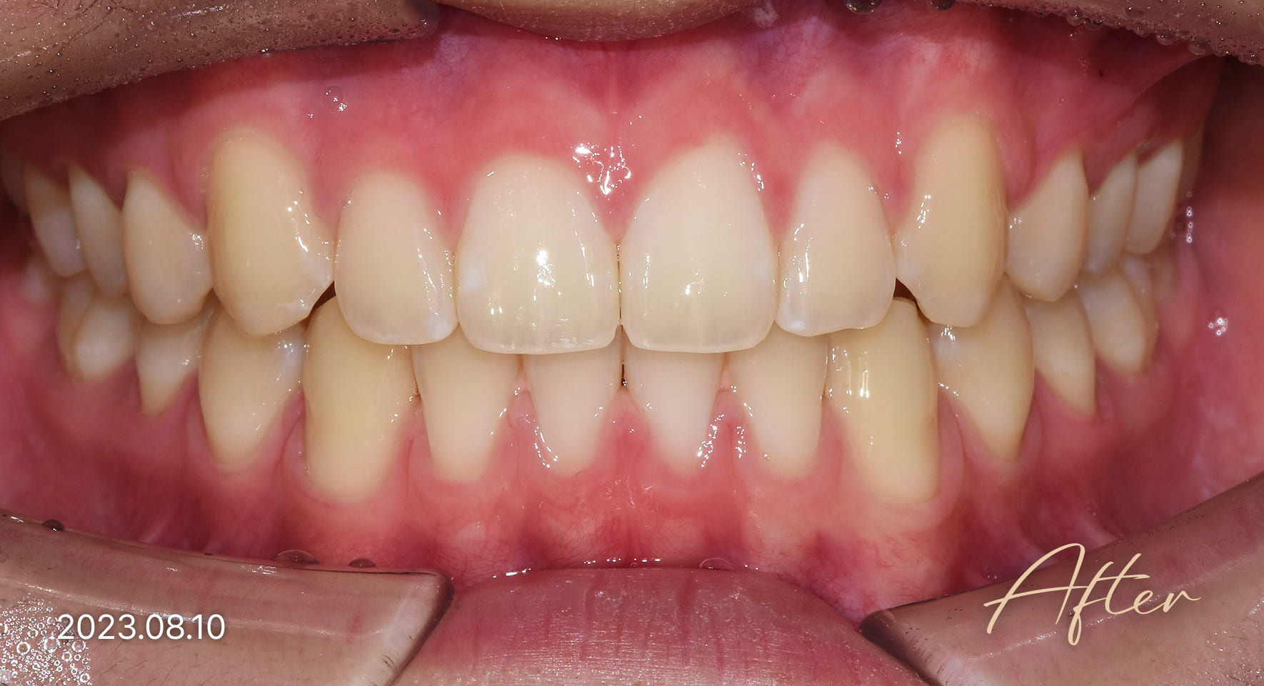
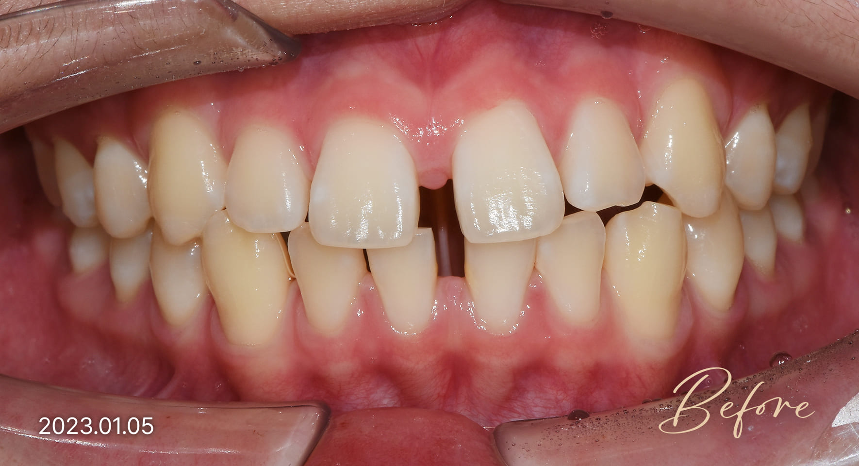
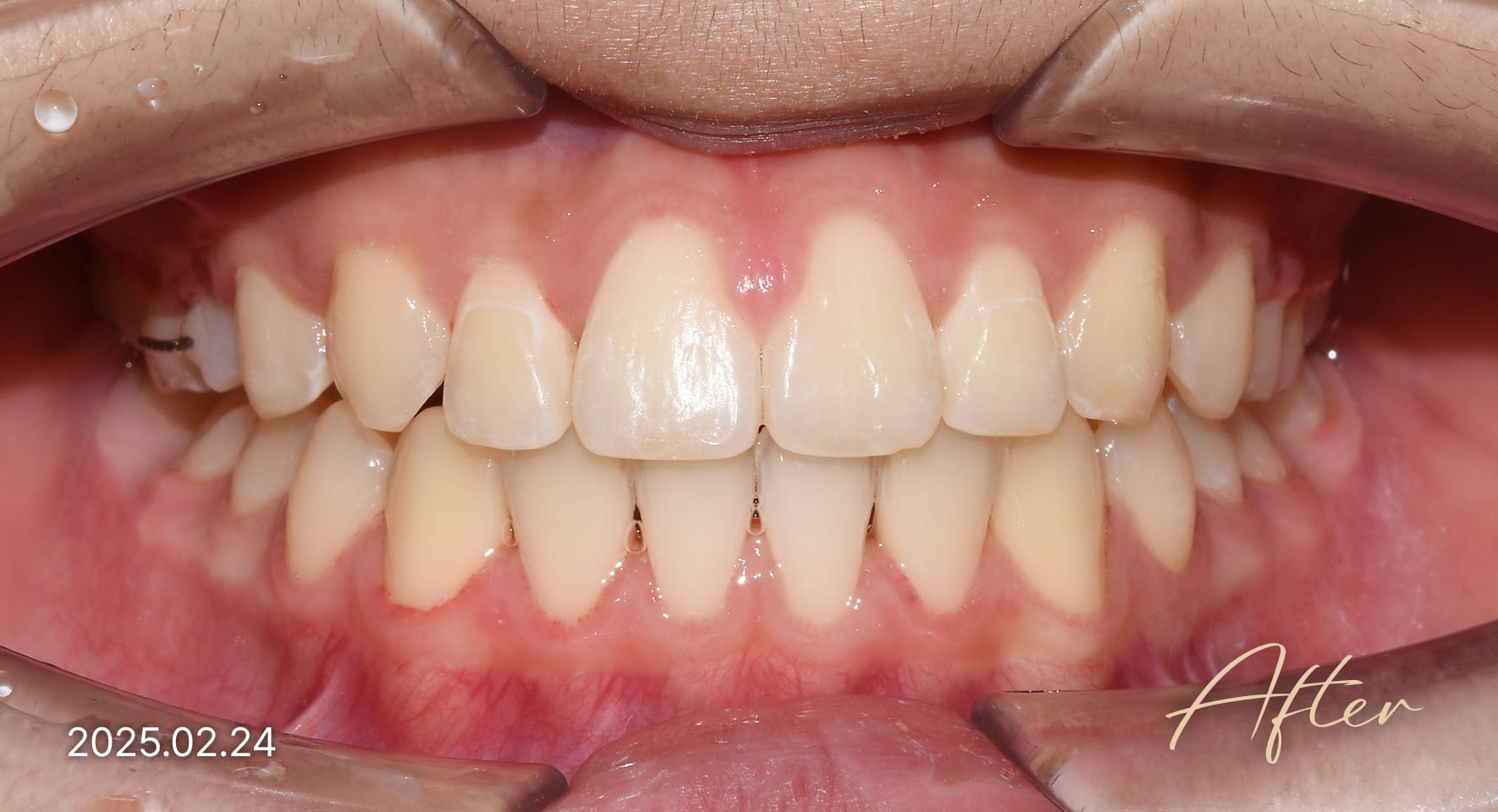
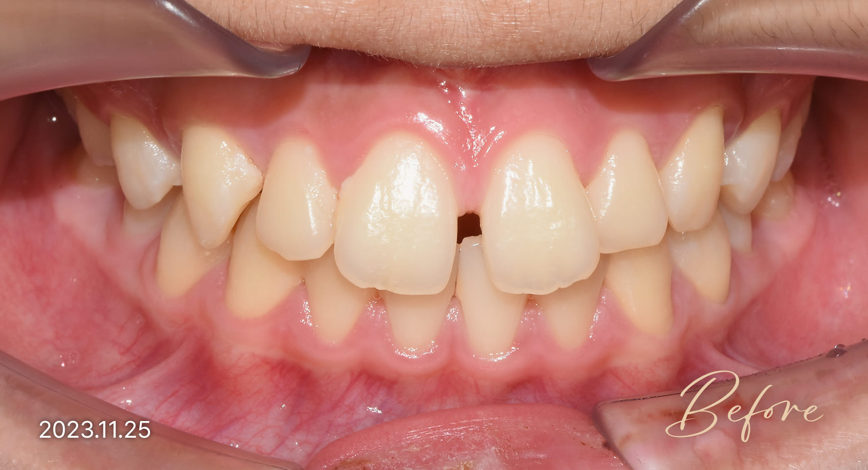
성인 교정 치료사례

본 사진은 진심을담은치과교정과 치과의원에서
치료한 환자의 동일 인물 전·후 사진입니다.
개인의 구강 상태 및 관리 방법에 따라 통증 및 잇몸 염증,
턱관절 불편감 등의 부작용이 발생할 수 있습니다.
치료 전 치료 후
치료 전 치료 후
치료 전 치료 후