진심을 담은 치과교정과 치과의원
치과소개
원장소개
직원소개
치아교정
성장기 교정
성인 교정
부분 교정
재교정
치료사례
치료 전후 사진
임상사례
로그인
회원가입
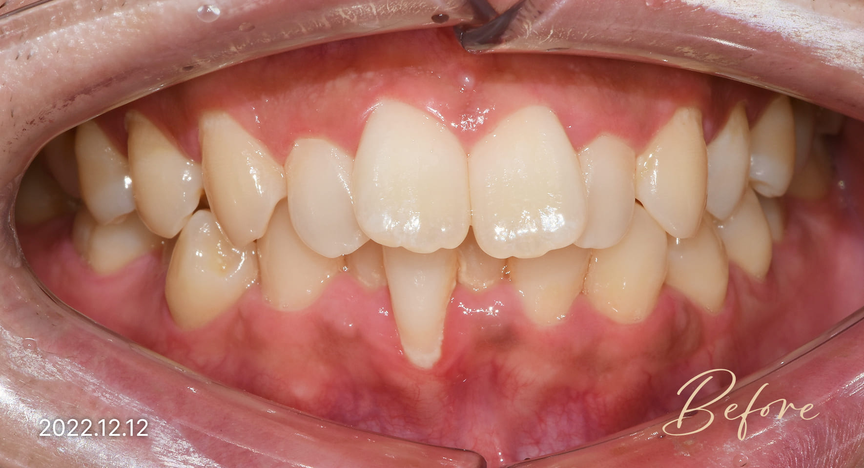
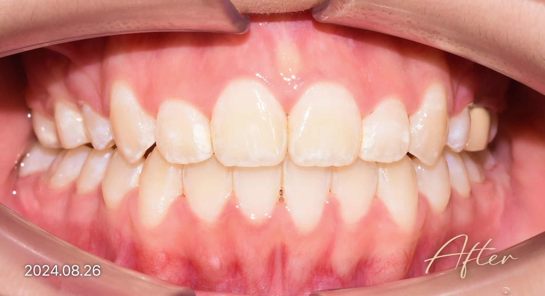
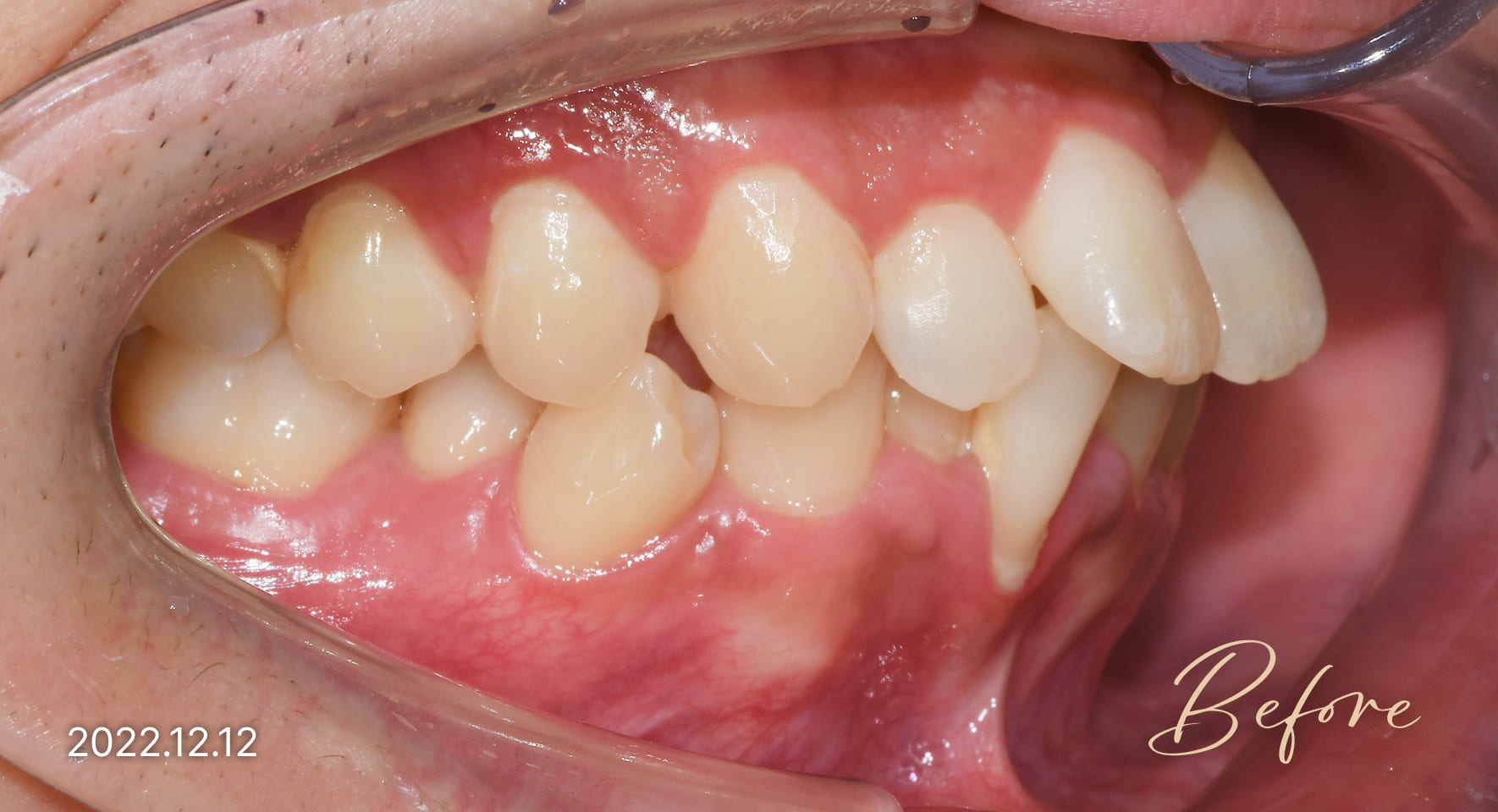
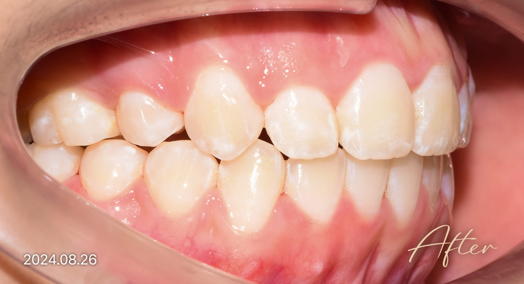
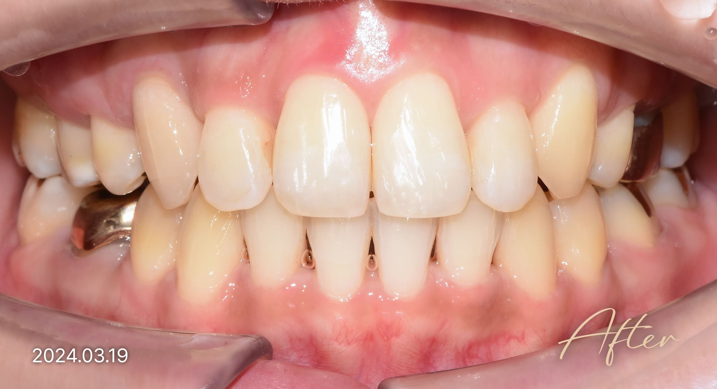
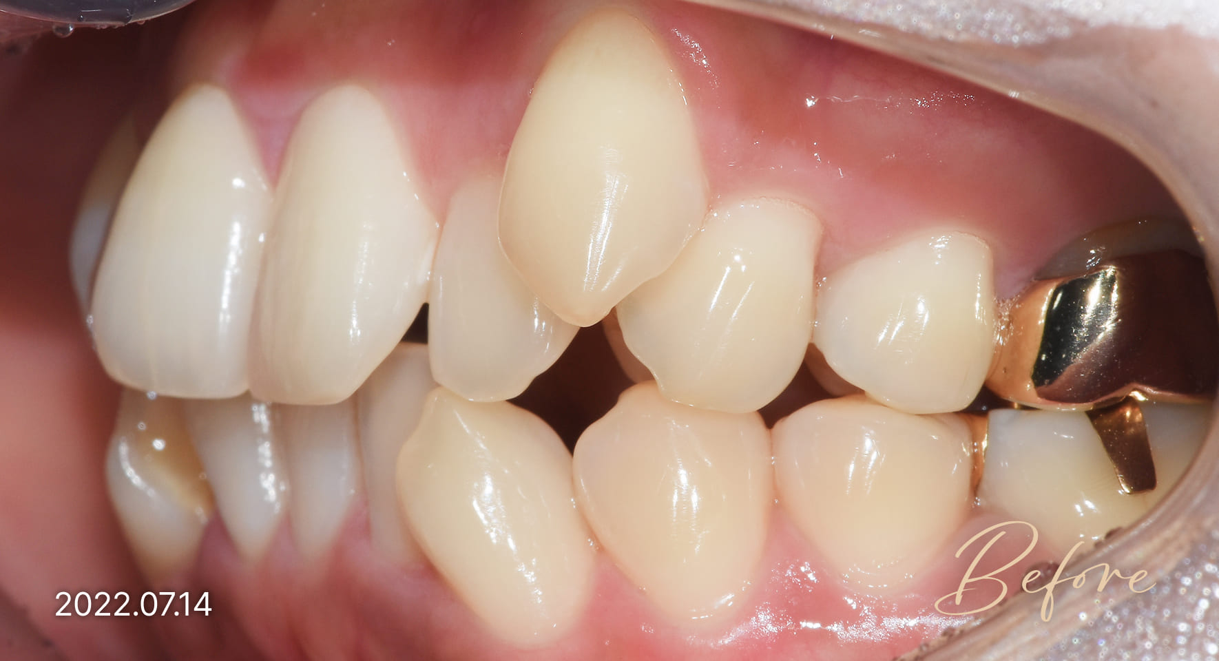
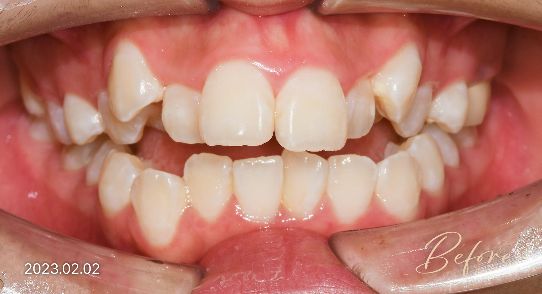
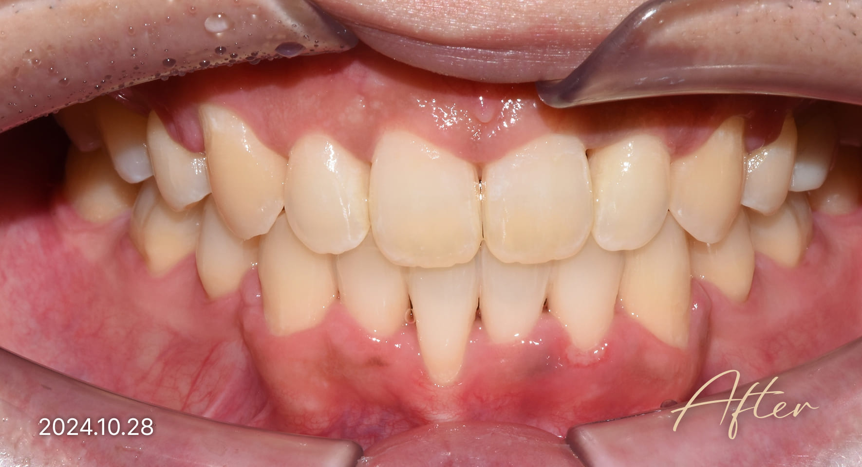
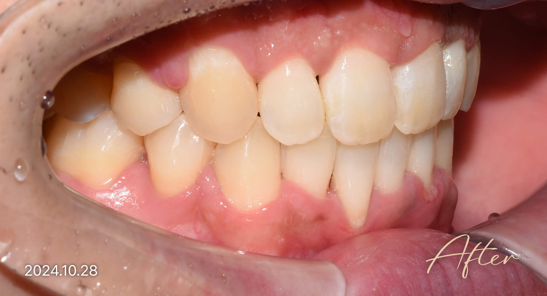
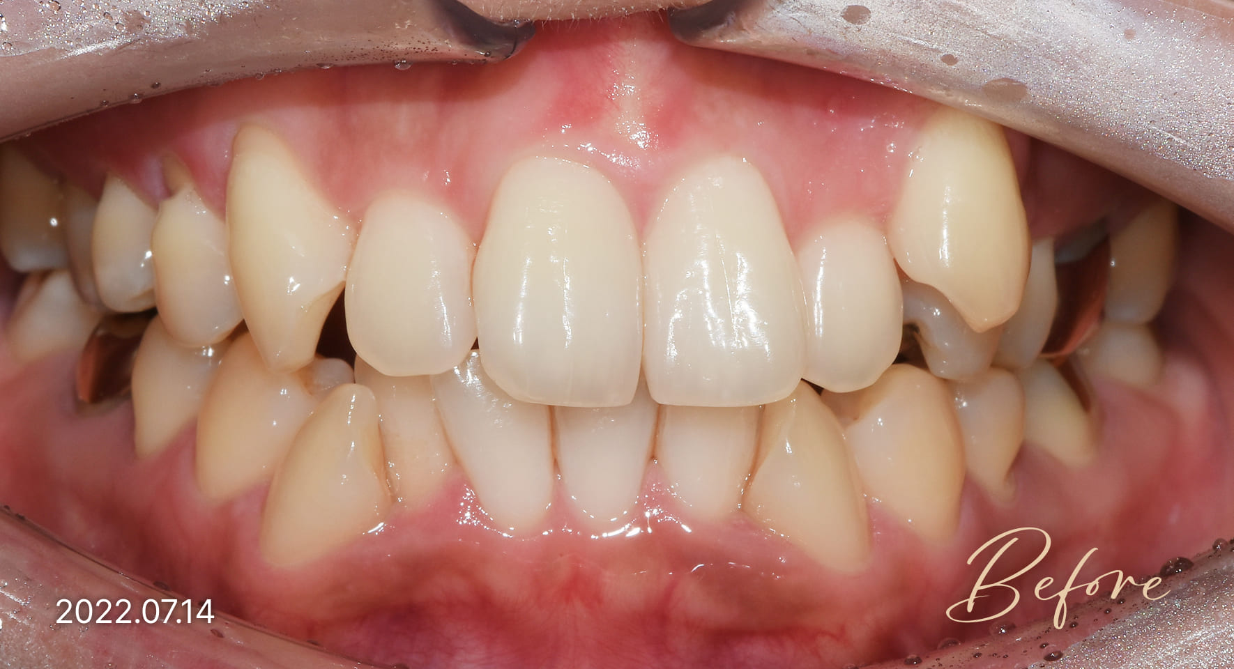
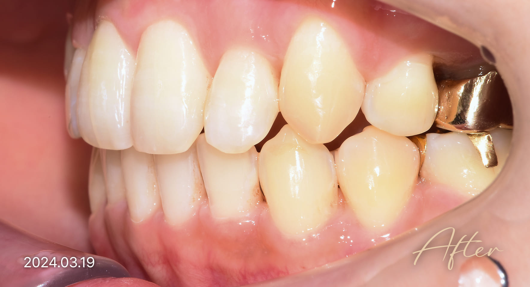
Before / After
치료사례
13년 경력, 교정전문의 진료
치료 전후 사진
본 사진은 진심을담은치과교정과 치과의원에서
치료한 환자의 동일 인물 전·후 사진입니다.
개인의 구강 상태 및 관리 방법에 따라 통증 및 잇몸 염증,
턱관절 불편감 등의 부작용이 발생할 수 있습니다.
증상별 모아보기
덧니, 삐뚤한 치열
돌출입
반대교합(비수술)
성장기 교정
과개교합
개방교합
치열공간, 벌어진 앞니
매복치아
악교정 수술 교정
결손치
부분교정
인비절라인