진심을 담은 치과교정과 치과의원
치과소개
원장소개
직원소개
치아교정
성장기 교정
성인 교정
부분 교정
재교정
치료사례
치료 전후 사진
임상사례
로그인
회원가입
Clinical case
임상사례
13년 경력, 교정전문의 진료
임상사례
증상별 모아보기
덧니, 삐뚤한 치열
돌출입
반대교합(비수술)
성장기 교정
과개교합
개방교합
치열공간, 벌어진 앞니
매복치아
악교정 수술 교정
결손치
부분교정
인비절라인
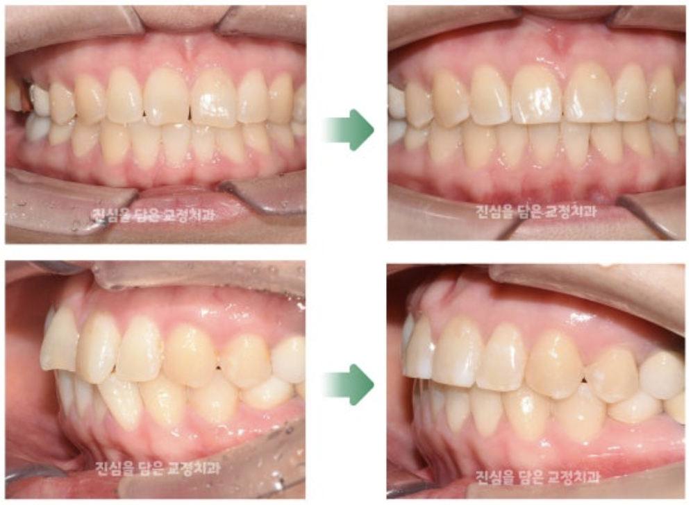
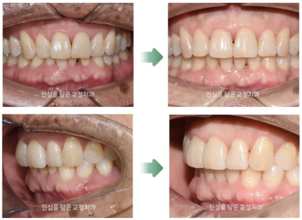
삐뚤어진 앞니를 가진 50대 환자분의 부분교정 사례
부분교정, 중장년 교정
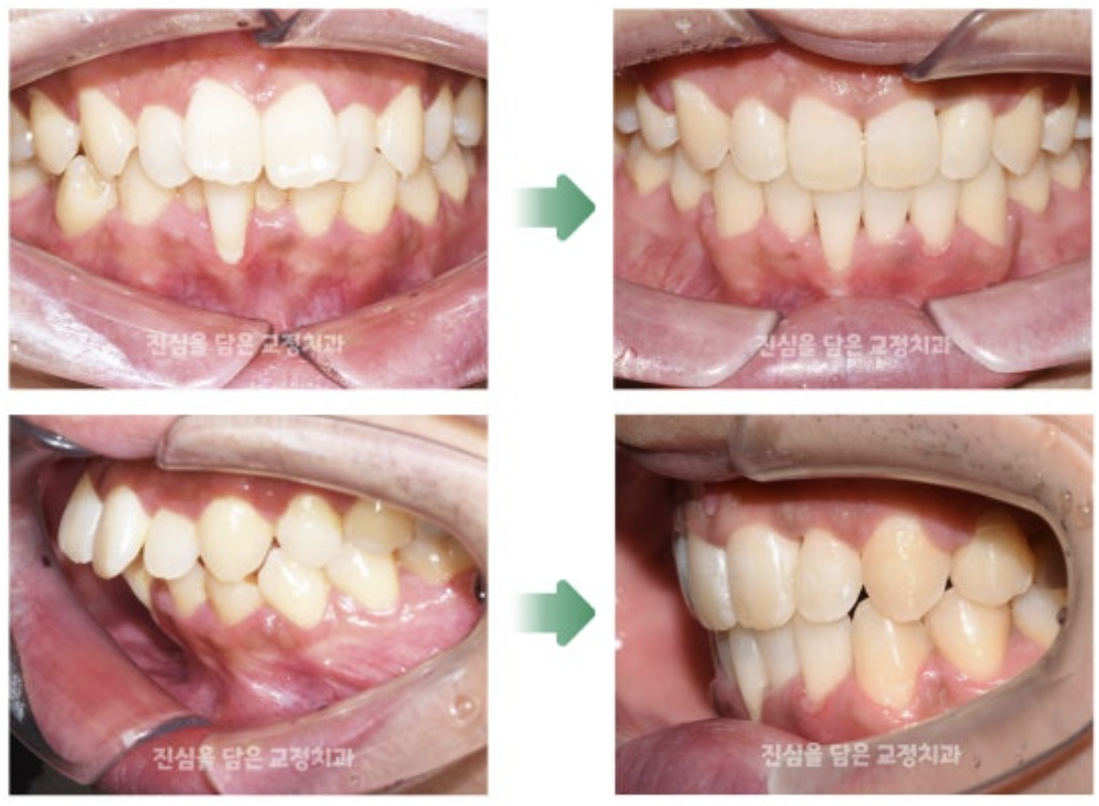
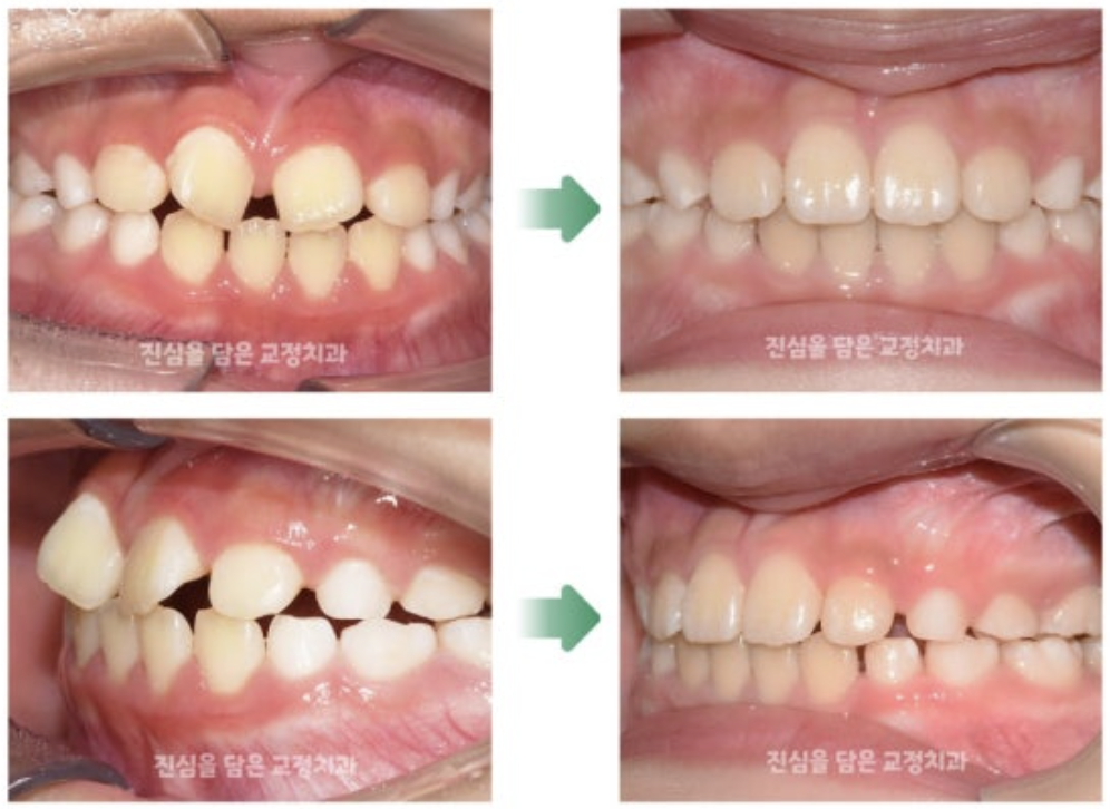
부분교정을 통해 삐뚤어진 앞니를 개선한 30대 환자분의 사례
부분교정, 성인교정
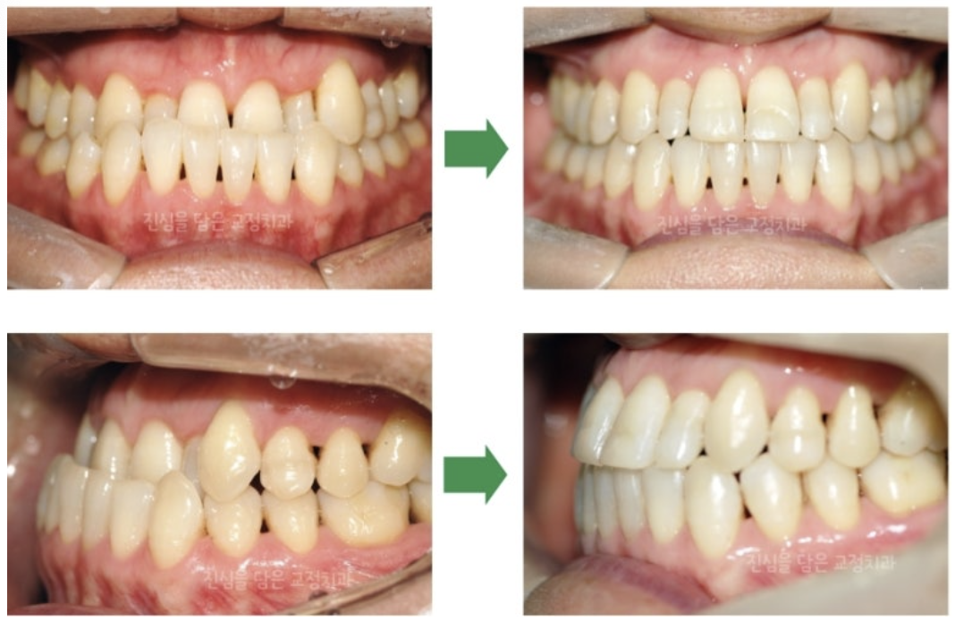
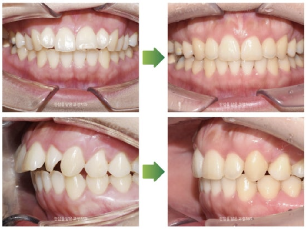
삐뚤어진 위 아래 치아를 가진 30대 환자분의 앞니 부분교정 사례
부분교정, 성인교정
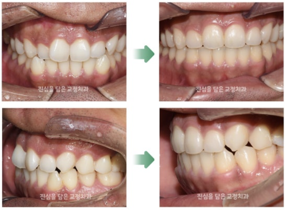
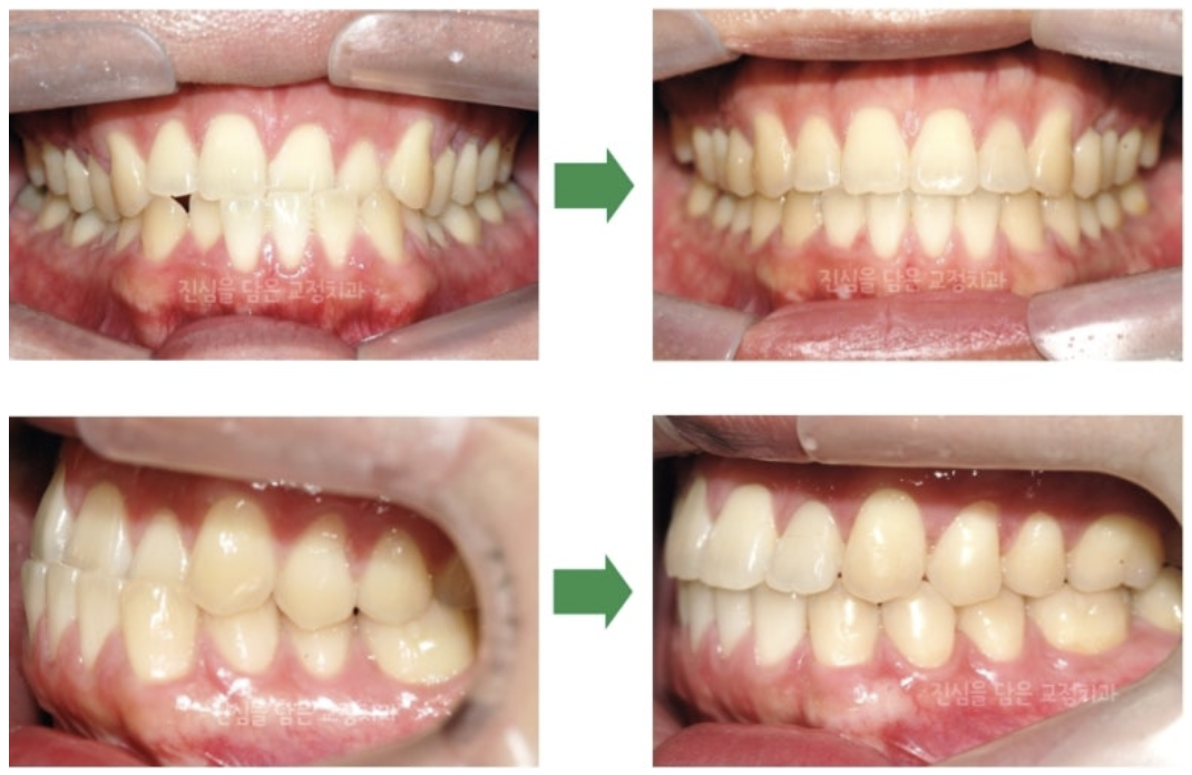
돌출입을 가진 30대 환자분의 교정 치료 사례
돌출입교정, 성인교정
나비치아 교정을 통해 돌출입을 개선한 사례
발치교정, 20대 교정
앞니가 거꾸로 물리고 치아가 삐뚤어진 30대 환자분의 교정 사례
비수술교정, 30대 교정
성인 주걱턱을 비수술로 교정한 사례
비수술교정, 중장년교정
돌출입을 인비절라인을 통해 개선한 30대 여성분의 사례
돌출입교정, 30대교정
앞니가 벌어져 인비절라인 퍼스트 치료를 받은 10대 환자의 사례
10대교정, 인비절라인퍼스트
01
/
02
/
03