진심을 담은 치과교정과 치과의원
치과소개
원장소개
직원소개
치아교정
성장기 교정
성인 교정
부분 교정
재교정
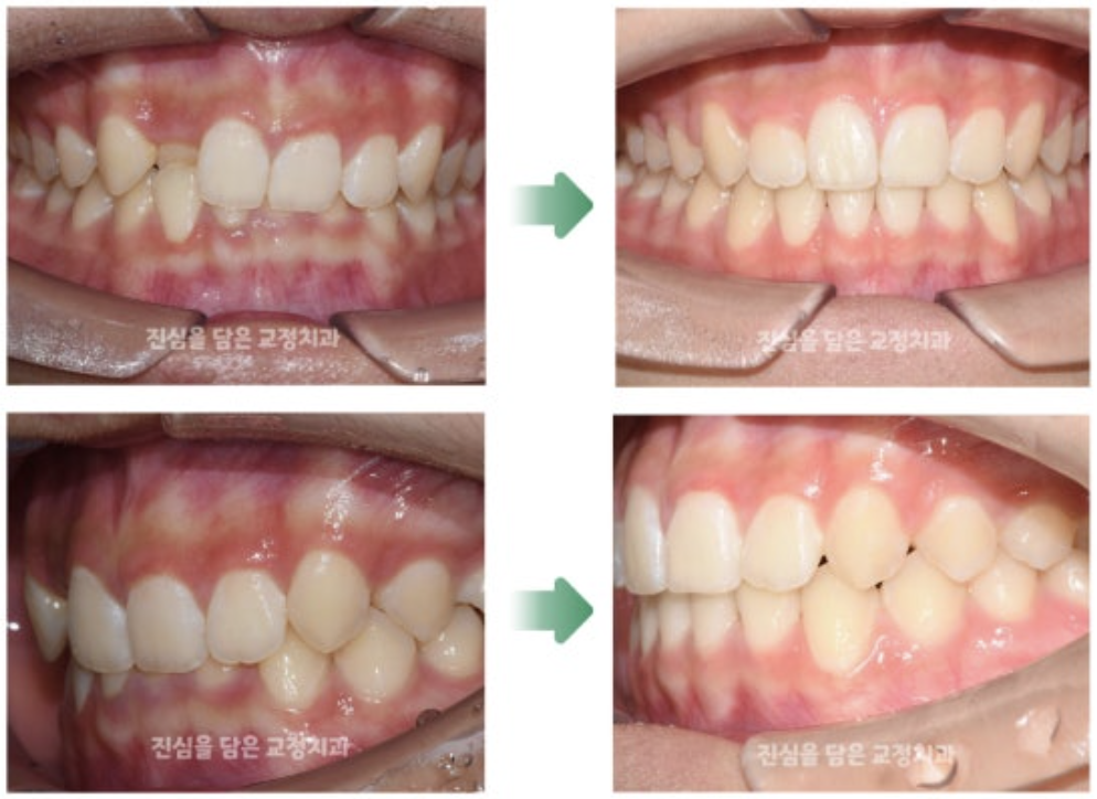
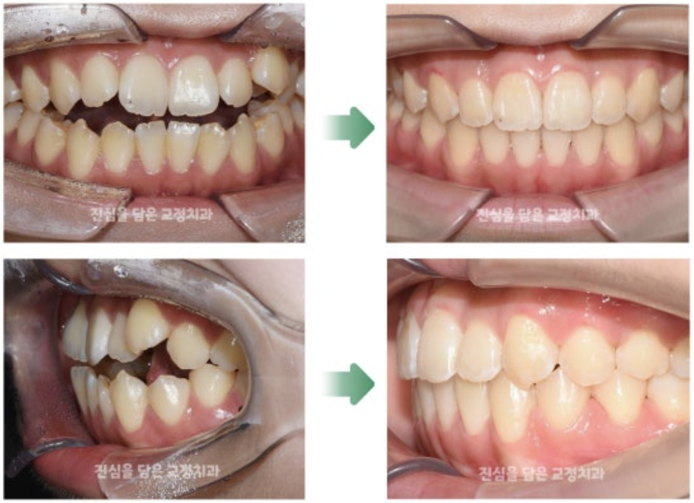
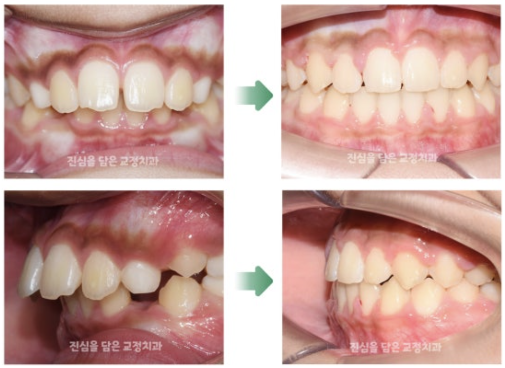
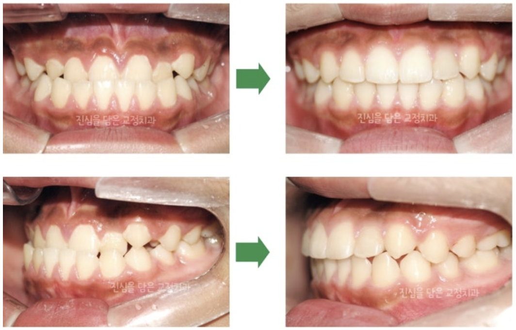
치료사례
치료 전후 사진
임상사례
로그인
회원가입
Clinical case
임상사례
13년 경력, 교정전문의 진료
임상사례
증상별 모아보기
덧니, 삐뚤한 치열
돌출입
반대교합(비수술)
성장기 교정
과개교합
개방교합
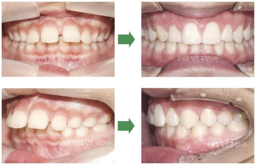
치열공간, 벌어진 앞니
매복치아
악교정 수술 교정
결손치
부분교정
인비절라인
트윈블럭으로 무턱, 돌출입을 개선한 사례
무턱교정, 트윈블럭
성장조절 및 비발치교정을 통해 개선한 앵글씨 2급 부정교합 어린이 환자 사례
비발치교정, 무턱교정
교정용 스크류를 활용해 청소년 반대교합을 개선한 사례
주걱턱교정, 교정용스크류
비발치 교정을 통해 덧니와 과개교합을 교정한 10대 환자분의 사례
비발치교정, 10대교정
비발치로 개방교합 교정을 진행한 20대 환자분의 사례
비발치교정, 20대교정
01
/
02
/
03