진심을 담은 치과교정과 치과의원
치과소개
원장소개
직원소개
치아교정
성장기 교정
성인 교정
부분 교정
재교정
치료사례
치료 전후 사진
임상사례
로그인
회원가입
Clinical case
임상사례
13년 경력, 교정전문의 진료
임상사례
증상별 모아보기
덧니, 삐뚤한 치열
돌출입
반대교합(비수술)
성장기 교정
과개교합
개방교합
치열공간, 벌어진 앞니
매복치아
악교정 수술 교정
결손치
부분교정
인비절라인
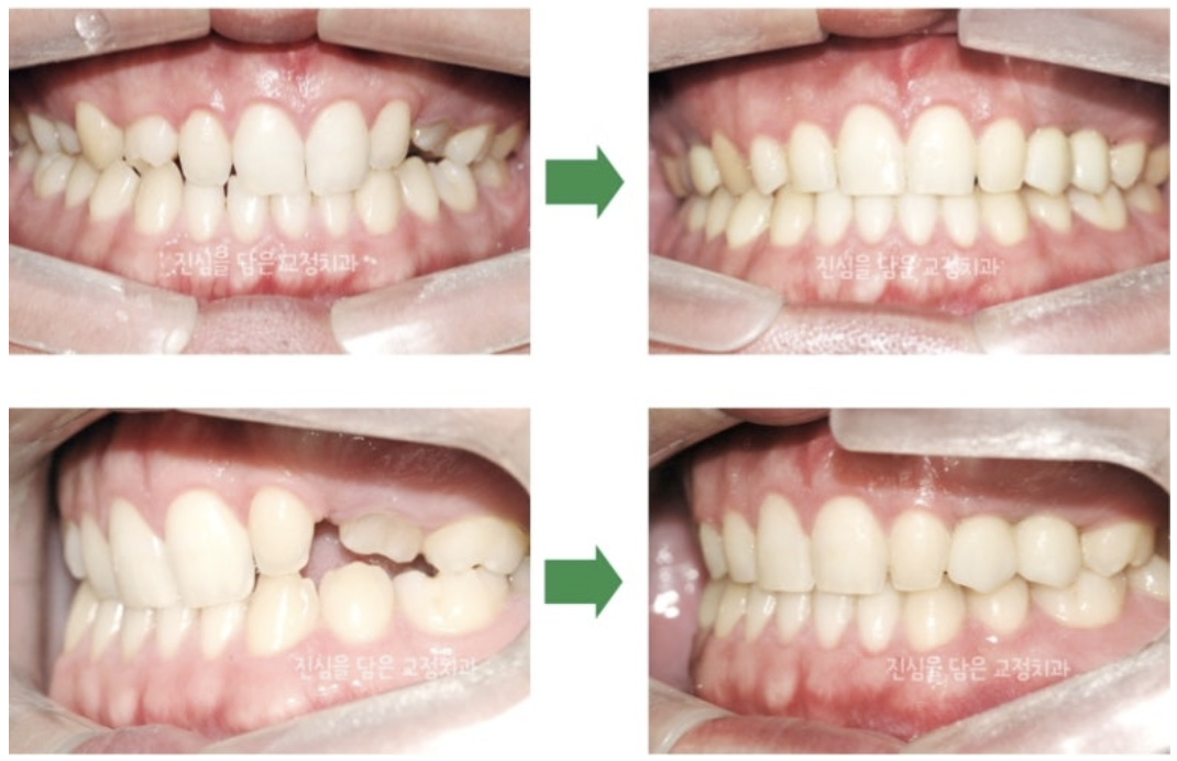
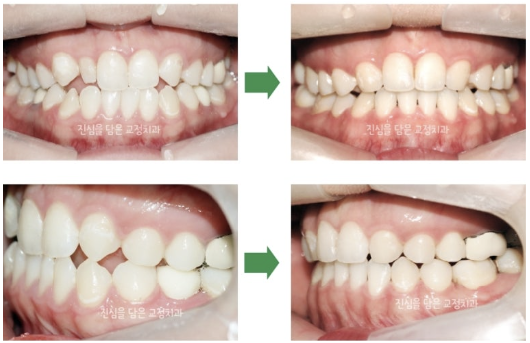
인비절라인 라이트를 통해 벌어진 치열을 개선한 사례
10대교정, 인비절라인라이트
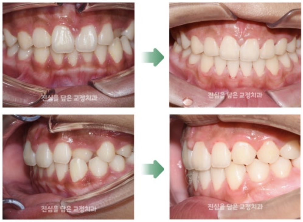
아래 앞니 1개 결손, 왜소치 및 돌출입을 개선한 사례
결손치, 돌출입교정
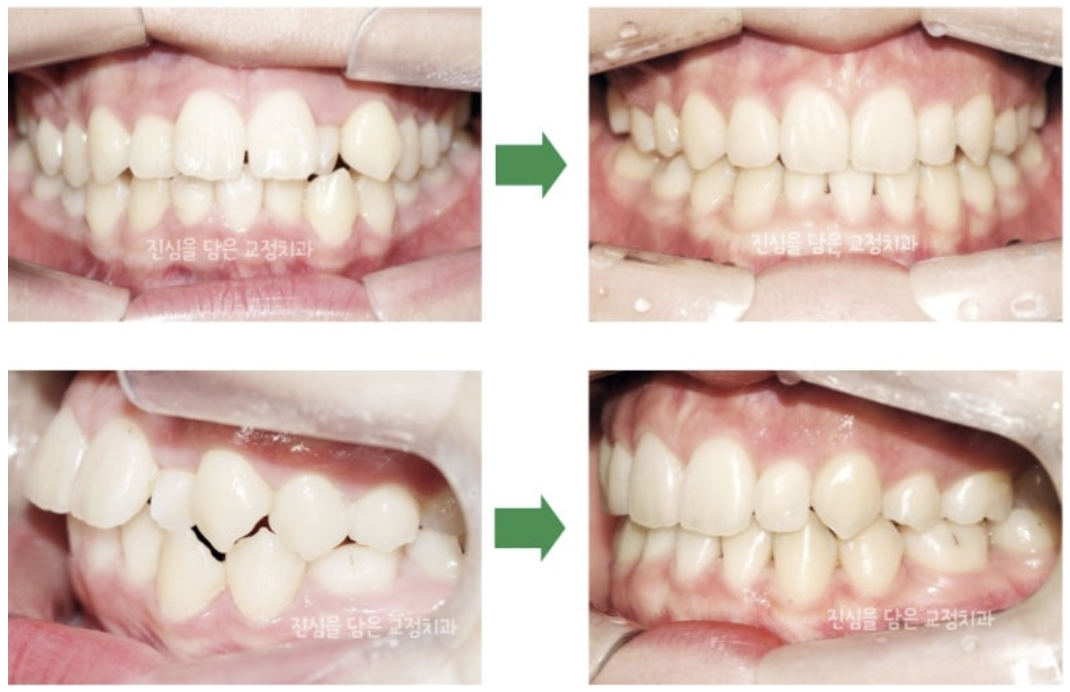
결손치와 왜소치가 있는 20대 환자분의 사례
결손치교정, 20대교정
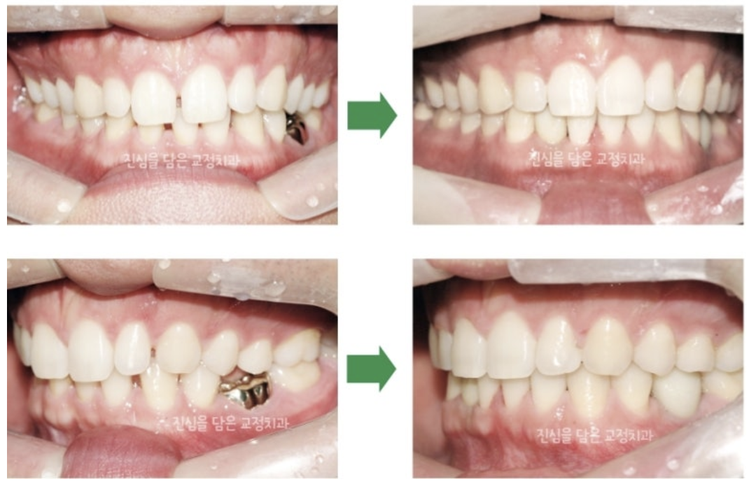
결손치를 교정과 임플란트를 통해 개선한 사례
결손치교정, 임플란트
결손치로 벌어진 치열을 임플란트와 교정으로 개선한 사례
결손치교정, 임플란트
결손치와 벌어진 치열을 임플란트, 교정을 통해 개선한 사례
결손치교정, 임플란트
교정을 통해 아랫니 2개 결손, 덧니를 개선한 사례
결손치교정, 덧니교정
비발치 교정을 통해 비대칭을 개선한 사례
비발치교정, 10대교정
앵글씨 3급 부정교합을 구외장치를 이용한 개선 사례
주걱턱교정, 구외장치
01
/
02
/
03