안녕하세요. 치아교정 전문 "진심을 담은 교정치과" 원장 이바울입니다.
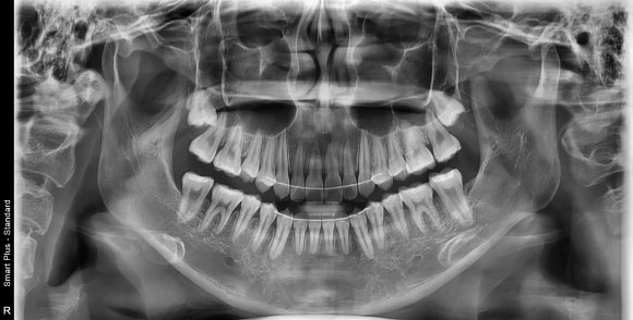
삐뚤어진 치열은 돌출입과 함께 환자분들이 교정치료를 결심하는 대표적인 이유 중 하나입니다. 특히 교정치료를 계획하고 계신 분들께서 가장 걱정하시는 부분 중 하나는 바로 이를 뽑고 교정치료를 하는 것일텐데요. 발치 여부는 교정치료를 진행함에 있어서 가장 중요한 진단 과정이기 때문에 진단 장비를 통한 정확한 분석과 교정 전문의의 판단이 중요합니다.
오늘 소개해 드릴 치료 케이스는, "이가 삐뚤어졌어요."라는 이유로 개방교합 교정치료를 진행하셨던 20대 환자분의 치료 케이스입니다.
초진 사진

환자분은 위 아래 앞니가 삐뚤어져있다는 이유로 교정치료를 원하셨습니다.
처음 내원하셨을 당시의 얼굴 모습을 보면, 돌출감은 크게 느껴지지 않는 모습이었고, 환자분 역시 돌출감에 대해서는 현재 얼굴 모습을 유지하기를 원하셨죠.
전체적인 환자의 모습은 위 아래 치아가 삐뚤어져 있었으며, 치아를 다물었을 때 위 아래 앞니가 닿지 않는 개방교합을 보이고 있었습니다. 참고로 원래 위 아래 치아끼리 다물었을 때 위 앞니가 아래 앞니보다 1~3mm 전방에 위치하면서 동시에 1~3mm 정도 수직적으로 덮는 것이 정상범주입니다.
삐뚤어진 치열을 가지런하게 하기 위해 공간 평가가 필요했고, 환자분의 얼굴 모습, 위턱과 아래턱의 관계, 교합 등을 종합적으로 분석하여 공간을 평가하였습니다. 그 결과, 발치 없이 만들 수 있는 공간량과 현재 공간 부족량이 비슷하다는 결과가 나와 발치를 하지 않고 교정치료를 진행하였습니다.
발치하지 않고 삐뚤어진 치아를 가지런하게 교정치료를 진행하는 경우, 가장 주의해야 하는 점은 처음보다 앞니가 뻐드러진다거나, 입이 나와 보이지 않도록 해야 된다는 것입니다. 이에 대한 분석과 정확한 평가 그리고 치료 이 세 가지를 얼만큼 잘 하느냐는 교정의사에게 있어서 가장 중요한 능력이죠.
분석 결과, 치아가 뻐드러지지 않으며 현재 모습을 최대한 유지하면서 가지런히 만들고, 개방교합 교정도 하기로 했습니다. 그러기 위해 교정용 스크류도 식립하면서 치아 옆면 다듬기도 병행해 치료하기로 계획했습니다.
진행 과정 1

1) 위 아래 교정장치를 부착하여 삐뚤어진 위아래 치아 배열을 개선하였습니다.
진행 과정 2

2) 교정용 스크류를 식립하여 치아 배열을 개선해 나갔습니다.
그 결과, 삐뚤어져 있던 위아래 앞니 배열이 개선되었으며, 위 아래 앞니가 벌어져 있던 개방교합도 개선되었습니다. 또한 이 과정에서 삐뚤어진 치열을 가진 성인환자의 교정치료 시 발생하는 블랙트라이앵글을 줄이기 위한 노력도 병행했죠.
마무리

치료 결과 삐뚤했던 위아래 치아들은 가지런하게 배열되었습니다.
개방교합이라 불리는 수직적으로 벌어져 있던 위아래 앞니도 정상적인 교합관계로 개선되었으며, 매우 만족스러운 위아래 교합이 달성되었습니다. 또한 스마일라인도 이상적으로 개선되었습니다.
치료 결과를 유지하기 위해 위아래 앞니 뒤쪽에 고정식 유지장치를 부착하였으며, 꼈다 뺐다가 가능한 가철성 유지장치 사용도 병행했죠. 이어 전후 사진을 비교해 확인해 보겠습니다.
치료 전후 비교 사진
이번 환자분은 총 1년 2개월의 개방교합 교정치료 기간이 걸렸습니다.
환자분께서 눈으로 직접 확인할 수 있는 앞니 부분 뿐만 아니라, 보이지 않는 어금니 부분 교합까지 잘 맞춰졌습니다. 또한 심미성을 위해 앞니에 발생할 수 있는 블랙트라이앵글도 최대한 줄여 마무리하였는데요.
삐뚤어진 앞니를 가지런하게 했을 때 성인 교정 환자분들은 블랙트라이앵글이 100% 발생하지만, 최소화시키는게 목표이죠. 이는 개개인의 잇몸 및 잇몸뼈 상태, 치아 형태 등에 따라 결과가 차이가 날 수 있습니다.
또한 환자분께서는 치아가 뻐드러지거나 돌출감이 생기지 않고, 처음 얼굴을 유지하면서 치아가 가지런하게 잘 개선되었습니다.
잘 마무리 된 결과를 앞으로도 쭉 유지할 수 있도록 더욱 노력하는 진심을 담은 교정치과가 되겠습니다.
