안녕하세요. 진심을 담은 교정치과 원장 이바울입니다.
오늘은 성장기 (대략 초등학생에서 중학생 사이) 시기에 골격적인 문제를 개선하고자 하는 성장 조절, 즉 1차 교정에 대해 소개해 드리려고 합니다. 이번 시간에는 '앵글씨 2급 부정교합'이라고 불리는 뻐드렁니, 무턱을 치료한 사례에 대해 알려드리려고 합니다.
성장기 아이들의 앵글씨 2급 부정교합의 많은 사례가 아래턱이 작으며 후방에 위치해 있어서 발생하는데요. 이로 인해 윗니나 윗입술이 상대적으로 튀어나와 보이게 되는 것입니다. 이러한 증상의 치료 방식은 골격적인 문제가 어떠냐에 따라 개선이 방법이 모두 달라지는데요. 성인이 되어 2급 부정교합을 개선하고자 한다면 발치 가능성이 높아지게 됩니다. 심한 경우에는 수술까지도 고려해야 할 수도 있습니다.
따라서 성장기 시기는 아래턱의 성장에 개입할 수 있는 최적의 골든타임이라고 할 수 있습니다.
또한 정확한 분석을 통하여 적절한 시기에 치료를 받으신다면 앵글씨 2급 부정교합과 관련된 무턱, 돌출입뿐만 아니라 턱관절, 비대칭, 코골이 등을 개선할 수 있다는 장점이 있습니다. 따라서 우리 아이가 앵글씨 2급 부정교합인 것 같다고 하신다면, 미루지 마시고 근처 치과에 내원하셔서 상담받아보시길 바랍니다.
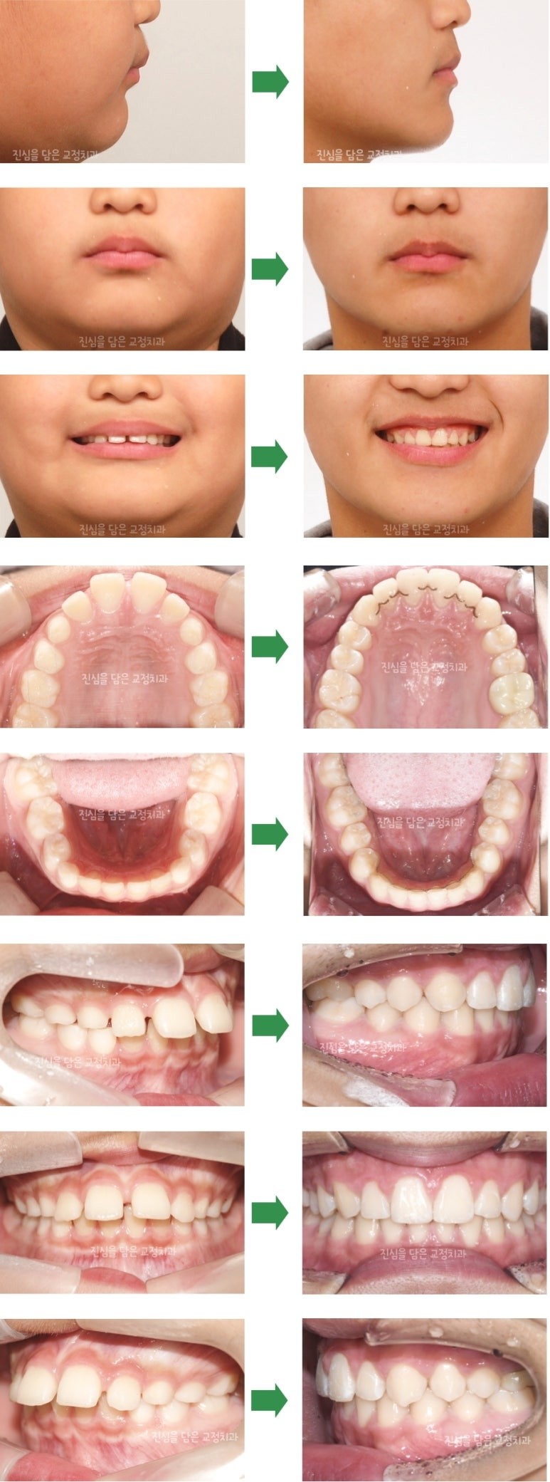
오늘 소개해 드릴 치료 사례는 "윗니가 뻐드러졌으며, 치아 사이가 벌어져요."라는 이유로 교정을 진행하셨던 2급 부정교합 10대 환자분의 케이스입니다.
초진 사진

환자 분은 치아 사이가 벌어지고 윗니가 뻐드러졌다는 이유로 내원해 주셨습니다.
우선 해당 환자분의 얼굴 모습과 치아 관계에서 앵글씨 2급 부정교합의 특성이 보이고 있었습니다. 우선 얼굴의 모습을 살펴보자면, 옆 얼굴을 보았을 때 아래턱이 작으며 후방에 위치하여 위턱에 비해서 아래턱이 뒤로 들어가 있는 상태였습니다.
또한 아랫입술이 위 아래 앞니 치아 사이로 말려들어가며 아랫입술에서 아래 턱 끝까지 이어지는 라인이 지나치게 들어가 있었습니다. 따라서 입술의 돌출감이 상대적으로 더욱 도드라져 있었습니다.
치열 부분을 살펴보자면, 위 아래 어금니를 다물었을 때 윗니가 많이 뻐드러져 있었습니다. 이 때문에 위 아래 앞니의 앞뒤 간격 차이가 많이 나는 것을 확인할 수 있었습니다. 게다가 위 아래 앞니가 서로 멀리 떨어져 있었습니다. 그렇다보니 뒤에 위치한 아래 앞니가 솟구쳐 위 앞니 뒤쪽 잇몸에 가깝게 닿는 형태로 깊게 물리는 과개교합 양상을 보이고 있었어요.
따라서 아래턱의 위치를 개선하는 방향으로 치료를 해드려야겠다는 생각을 했습니다.
손뼈 엑스레이 촬영 결과, 아직 왕성한 키성장이 일어나는 단계는 아니었으나, 먼저 개입하여 성장기 교정(1차 교정)을 진행하기로 하였습니다.
성장기 교정(1차 교정)
1) 트윈블럭 장치를 통해 1차 교정을 진행했습니다.
무턱인 아래턱의 위치를 개선하고 뻐드러진 위 앞니의 각도 개선을 병행하기 위해 트윈블럭 장치를 사용하였습니다. 해당 장치를 사용할 때는 좋은 결과를 위해 장치 협조도가 매우 중요합니다. 트윈블럭의 경우 식사시간을 제외한 24시간 장착이 원칙입니다.
성장기 교정(1차 교정) 후


2) 트윈블럭 장치를 꾸준히 활용하고 난 후입니다.
처음 내원하였을 때와 1차 교정 후 옆 얼굴 엑스레이 사진을 비교해보면 아래턱의 위치가 개선된 것을 확인할 수 있습니다. 또한 뻐드러진 위 앞니 각도도 일정부분 개선되었습니다. 트윈블럭 사용 이후의 골격, 얼굴 모습, 교합 관계에 대한 정확한 분석을 통해 2차 교정 시 발치 여부를 결정하게 됩니다.
이 환자분은 분석 결과 비발치로 2차 교정을 진행하게 되었습니다.
2차 교정

3) 위 아래 교장장치를 부착하였습니다.
벌어진 치열의 공간을 모으기 시작하였으며, 뻐드러져 있던 위 앞니 각도도 개선했습니다. 또한 깊게 물려있던 위 아래 앞니 관계 역시 개선해나갔습니다.
마무리

치료 결과입니다. 뻐드러져 있던 앞니의 돌출감이 개선되었으며, 깊게 물려서 보이지 않았던 아래 앞니도 무사히 개선되었습니다. 얼굴 모습을 보시면 무턱도 많이 좋아진 것을 확인할 수 있습니다. 아랫 입술부터 아래 턱 끝을 연결한 라인이 자연스러운 곡선 형태로 개선되어서 위 아래 입술라인도 더욱 자연스러워졌으며 돌출입도 개선되었습니다.
치료 결과를 유지하기 위해 위 아래 앞니 뒤쪽에 고정식 유지장치를 부착했으며, 끼고 빼는 것이 가능한 가철성 유지장치 사용도 병행하기로 했습니다.
치료 전후 비교 사진

해당 환자분은 총 3년 11개월의 시간이 걸렸습니다.
1차 교정은 1년, 2차 교정은 2년 11개월의 시간이 소요되었습니다. 뻐드러진 각도와 깊게 물리는 위 아래 앞니관계로 인하여 조금 일찍 성장기 교정을 시작했으며, 영구치 맹출을 기다려야 하는 시간이 있었기 때문입니다.
처음 내원 당시 치아 배열이 나쁘지 않은 상태였습니다. 따라서 2차 교정치료 기간이 다른 앵글씨 2급 부정교합 환자분에 비해 일찍 치료가 마무리 되었습니다. 환자분께서는 장치 협조도도 매우 좋았습니다. 덕분에 골격적으로 좋은 반응을 얻을 수 있었습니다. 뻐드러진 위 앞니 각도 및 벌어진 치열의 개선을 통해 심미적인 부분과 치아와 얼굴 모습의 변화를 통해 심리적으로도 긍정적인 효과를 얻을 수 있었습니다.
성장기에서 가장 중요한 것은 치료시기입니다.
해당 골든타임을 놓치게 되면 치료 난이도가 올라가게 되며, 치료를 통해 개선할 수 있는 범위가 줄어들게 됩니다. 또한 앵글씨 2급 부정교합 환자가 성인이 되어 교정치료를 한다면 기도 확대는 기대하기 힘듭니다. 혹은 발치와 같이 희생해야 하는 부분이 생길 수 있죠. 따라서 적절한 시기에 치료를 받는 것이 중요합니다.
뻐드렁니처럼 위 아래 앞니의 전후방 간격이 굉장히 컸는데요. 이상적으로 잘 개선되었습니다. 또한 과개교합이라 불리는 깊게 물렸던 위 아래 앞니 역시 정상적인 관계로 개선될 수 있었습니다. 벌어져 있던 앞니도 예쁘게 배열되었으며 좋은 스마일라인을 가지게 되었습니다. 교정치료를 통해서 기능적, 심미적, 심리적으로 모두 좋은 결과를 드릴 수 있어서 매우 기쁩니다.
저희를 믿고 긴 시간동안 함께 노력해주신 환자분께 감사드립니다. 잘 마무리된 결과를 유지할 수 있도록 계속해서 노력하는 진심을 담은 교정치과가 되겠습니다.
