안녕하세요. 진심을 담은 교정치과 원장 이바울입니다.
치아가 선천적으로 없거나 발치를 해서 없다면, 임플란트를 해야 하나 고민하시게 되는데요.
치아가 없는 경우에 교정치료를 생각 중이라면 반드시 임플란트 전에 교정 전문의와 상담을 해야합니다. 교정을 통해 임플란트 없이 치아가 없는 부위의 공간을 없앨지 판단이 필요하기 때문입니다.
일단 임플란트를 심게 되면 이동이 불가능해서, 임플란트 후에는 다른 치아 이동에도 제한이 생기게 됩니다.
따라서 임플란트 후에는 교정치료가 어렵고 복잡해지기 때문에, 교정과 임플란트를 모두 고민 중이라면 반드시 임플란트 전에 교정치과에서 상담을 받으시길 바랍니다.
이번에 소개해 드릴 치료 케이스는 임플란트를 동반한 교정치료 과정입니다.
초진 사진
치아 개수가 모자라고 아래 치아 사이가 벌어져서 내원한 환자분입니다.
아래 치아가 선천적으로 4개가 없었다 보니 치아 사이가 벌어져 있었습니다. 골격적으로 위아래턱의 관계는 양호했으며 얼굴 모양에서 돌출감은 없었고, 위 치열은 치아 개수도 정상적이었고 배열도 나쁘지 않았습니다.
즉, 치아 개수가 모자라고 치아 사이가 벌어지기에 아래 치열에 임플란트가 필요한 상황이었습니다. 따라서 교정치료를 위해 아래 사랑니는 활용하고 아래 치열에는 2개의 임플란트를 식립하기로 결정하였습니다.
진행 과정 1
1) 먼저 스케일링을 통해 잇몸치료부터 진행한 후 교정장치를 부착하였습니다.
이런 과정을 통해 위 치열은 가지런히 배열을 진행하고, 아래 치열은 임플란트 식립을 위한 공간을 만들었습니다.
진행 과정 2

2) 교정용 스크류를 식립해서 위 아래 교합관계를 조절하였습니다.
아래 치열은 공간이 확보되면 임플란트를 식립하고, 교정장치는 임플란트가 완료된 후 제거합니다.
마무리

임플란트 치료가 완료된 후 교정장치를 제거했습니다. 치아 사이가 벌어져 있었던 것이 깔끔하게 메워지고 치열이 가지런해졌습니다. 또한 잇몸 관리와 지속적인 양치를 통해 잇몸도 매우 건강해졌습니다.
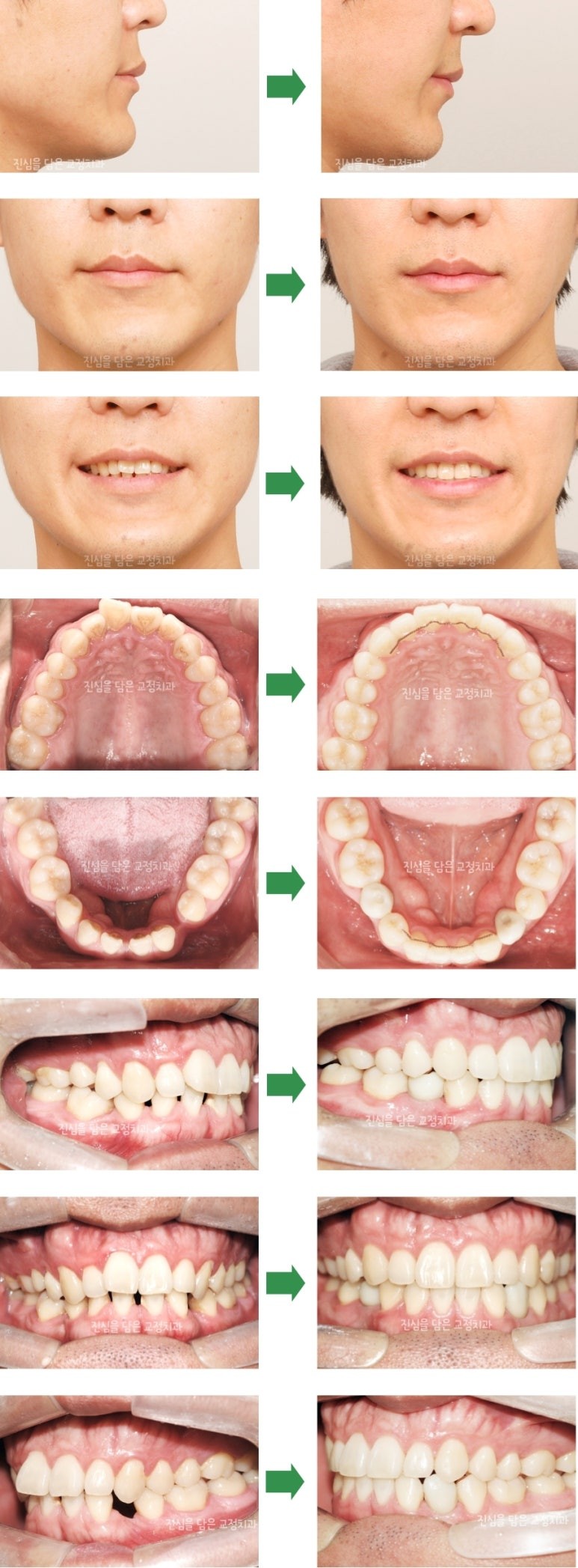
치료 전후 비교 사진

잇몸 치료와 임플란트를 병행한 교정치료 과정에 총 1년 1개월이 소요되었습니다.
결손된 아래 치아는 총 4개였지만, 2개의 임플란트만 식립하여 치료를 진행했습니다. 임플란트 개수를 최소화했지만 비교적 안정적으로 교합이 형성되었습니다.
치열에 임플란트가 있으면 음식물이 더 잘 끼일 수 있기 때문에 잇몸 건강을 위해 더 꼼꼼한 관리가 필요합니다. 따라서 올바른 양치질과 정기적인 스케일링은 꼭 필요합니다.
잘 마무리된 결과와 잇몸 건강이 잘 유지되도록 지속적인 관리를 해드리는 진심을 담은 교정치과가 되겠습니다. 감사합니다.
