안녕하세요. 진심을 담은 교정치과 이바울 원장입니다.
이번 글에서는 다수의 결손치가 있는 치열을 가진 환자분의 치료 과정에 대해 소개해 드리려고 합니다.
보통 여러 개의 치아가 결손되었을 때는 임플란트 식립 없이 치료하는 경우가 드뭅니다. 결국 어느 위치에는 임플란트 식립이 필요한데, 어느 위치에 몇 개를 식립하고 교정치료를 진행할지 정확한 계획이 필요합니다.
임플란트 식립 위치 및 개수가 결정되면, 이후 환경을 조성하고 가지런한 치열이 만들어질 자리에 임플란트를 식립해서 치료를 마무리하게 됩니다. 저는 항상 제가 만들 수 있는 최대한의 안정적인 교합 범위 내에서 가능한 임플란트 개수를 최소화하는 방향으로 진행하고 있습니다.
이번 시간에는 결손된 치아가 여러개였던 20대 환자분의 치료 케이스입니다.
초진 사진

환자분께서는 부족한 치아 개수 때문에 임플란트와 함께 교정치료를 원하셨습니다.
검사 결과, 위 치열에서 총 4개의 영구치가 없었는데요. 오른쪽 위 송곳니와 첫 번째 작은 어금니의 위치가 서로 바뀌어 있었습니다. 이를 '전휘(transposition)이라고 하는데, 태어날 때부터 치아의 위치가 바뀐 것을 말하며 맹출된 작은 어금니는 90도 회전되어 있는 경우가 많습니다.
위 치열에서 부족한 4개의 영구치 중 3개가 왼쪽 치열이었는데요. 오랜 기간 공간이 남아 있었기에 어금니가 앞으로 밀려난 상태였습니다. 그리고 아래 치열에서는 두 번째 왼쪽 작은 어금니가 없는 상태였습니다.
이렇듯 여러 치아가 결손될 경우 다양한 방법으로 치료 계획을 세울 수 있습니다. 우선 바뀐 치아들도 약간의 형태만 조정해 준다면 정상적인 기능을 하는데 문제가 없으므로, 회전된 방향만 수정 후 그대로 수용하기로 결정했습니다. 그리고 임플란트는 오른쪽 위 1개, 왼쪽 위에는 2개를 식립하여 최대한 임플란트 개수를 줄여 교정을 진행하기로 했습니다.
진행 과정 1
1) 먼저 위 아래 교정장치를 부착했습니다.
오른쪽 위 첫 번째 작은 어금니의 회전을 개선하며, 왼쪽 위 임플란트를 식립할 수 있는 공간을 만들어 나갔습니다. 아래쪽은 치아 배열만 가지런히 진행하였습니다.
진행 과정 2
2) 위 아래 교합관계를 조절하기 위해서 교정용 스크류를 식립했습니다.
이에 따라 다소 깊게 물리던 위 아래 앞니 관계와 좌측으로 몰리던 치열 정중선이 개선되었습니다.
마무리
임플란트 식립 후 교정장치를 제거했습니다. 임플란트 개수를 최소화하여 치료를 진행하였기에 총 5개의 결손치가 있었지만 3개만 식립하여 안정적인 교합을 만들었습니다.
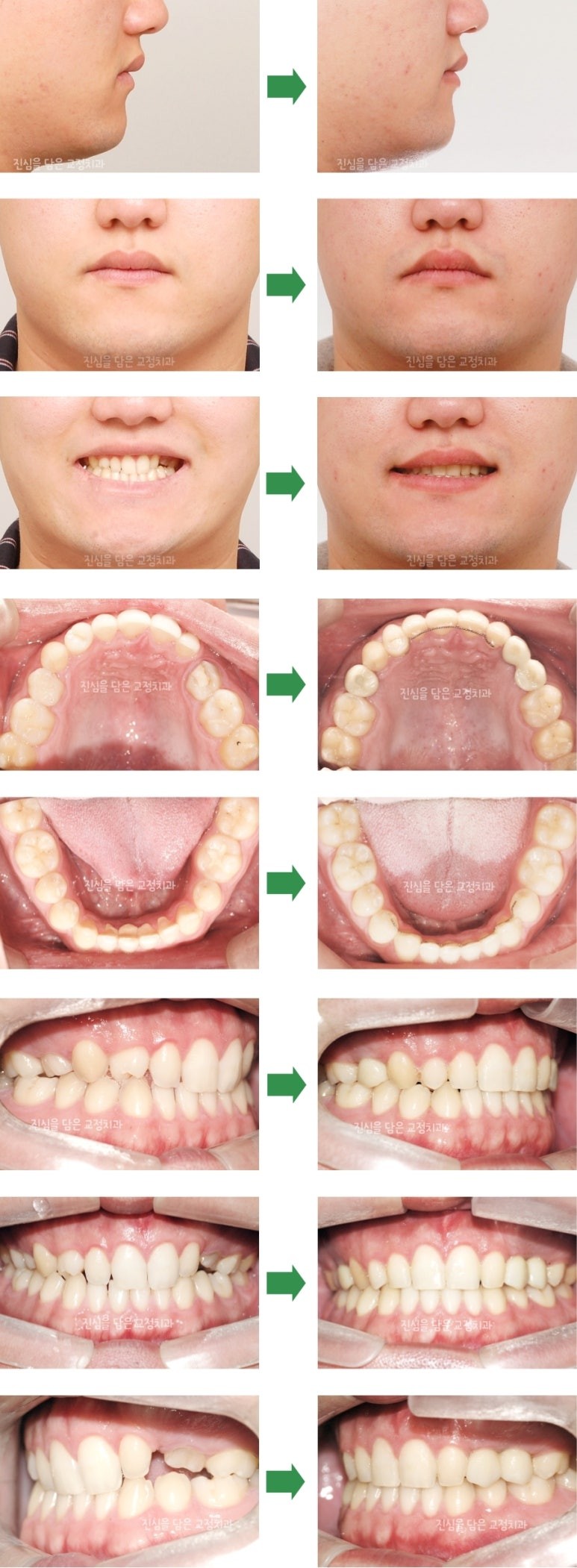
치료 전후 비교 사진
이번 환자분께서는 임플란트를 포함해 교정 치료에 2년 6개월이 소요되었습니다.
좌우 치아 개수를 동일하게 맞추지 않았지만, 임플란트 식립을 최소화해서 안정적인 교합을 만들어냈습니다. 치열이 가지런해짐에 따라 웃을 때도 자연스러워졌는데요. 생각했던 것보다 임플란트를 적게 식립했기 때문에 환자분께서도 만족하셨습니다.
치열에 임플란트가 있다면 음식물이 더 잘 끼일 수 있어, 특히 잇몸 관리가 더 중요합니다.
긴 치료 기간 동안 저희와 함께 노력해 주신 환자분께 다시 한번 감사드리며 사후 관리도 책임지는 진심을 담은 교정치과가 되겠습니다.
