안녕하세요. 진심을 담은 교정치과 원장 이바울입니다.
이번 시간에는 결손치와 왜소치가 함께 있는 환자분의 치료 케이스에 대해 소개해드리려고 합니다.
선천적으로 결손치가 나타나는 곳은 위쪽 측절치, 아래쪽 작은 어금니, 앞니 등이 있는데요. 그 중에서 위쪽 측절치는 결손과 함께 왜소치도 자주 발생하는 치아입니다. 작은 어금니가 결손된 경우는 그나마 치료가 용이한 편이지만, 앞니 쪽에 결손치가 있는 경우는 치료 난이도가 굉장히 어려워집니다.
임플란트를 식립하기에도 까다롭고 교정치료를 진행할 때도 위 아래 치아들의 크기 비율이 맞지 않아서 치료가 어렵기 때문입니다. 또한 앞니는 심미성과 직결되는 부분이기에 더욱 정교하고 신중한 접근이 필요합니다.
따라서 환자분의 치열 상태, 골격적인 관계, 얼굴의 모양 등 다양한 요소를 통해 생기는 경우의 수 중에서 최적의 치료방법을 충분한 상담을 통해 결정해야 합니다.
초진 사진

환자분께서는 위쪽 앞니 한 개가 없고, 반대쪽은 작다는 이유로 내원하셨는데요.
검사 결과, 오른쪽 위 측절치는 정상보다 작은 왜소치였고 왼쪽 위 측절치가 결손된 상태였습니다. 그로 인해 치열 정중선이 좌측으로 치우치고, 결손된 측절치 자리에 송곳니가 위치한 모습이었습니다. 치열과 잇몸 라인이 대칭을 이루지 못하다 보니 심미성이 떨어지고 웃을 때도 부자연스러운 모습을 보이셨습니다.
환자분의 얼굴 모양과 골격 관계, 교합을 분석한 결과, 남아있는 왜소치를 발치하고 아래쪽에서는 보철치료를 받은 작은 어금니를 발치하기로 했습니다. 이후 송곳니가 측절치 자리를 대신하고 있기에 치아에 무리가 없는 범위 안에서 어색하지 않게 다듬도록 계획하였습니다.
진행 과정 1

1) 위 아래 교정 장치를 부착했습니다.
위쪽 치열에서는 왜소치인 오른쪽 측절치를 발치했는데요. 왼쪽 측절치는 결손되었기에 양쪽 측절치가 전부 없는 상황이 되었습니다. 사실 양쪽 측절치를 모두 발치하는 경우는 거의 없기에 흔하지 않은 케이스입니다. 또한 아래쪽에서는 두 번째 작은 어금니를 발치했습니다
위 아래 치열에서 발치한 치아들의 크기가 다르기 때문에 기능상 가장 중요한 어금니 교합을 맞출 경우 치열 정중선이 맞지 않을 가능성이 높습니다. 하지만 정상 범주가 되도록 진행하였습니다.
진행 과정 2

2) 위 아래 치열을 가지런히 배열하고 남은 공간을 메웠습니다. 이후에는 정밀한 교합을 위해 마무리 단계를 진행하였습니다.
양쪽 송곳니가 대문니 바로 옆에 위치했는데, 뾰족한 형태일 경우 매우 부자연스럽기 때문에 치아에 무리가 없는 범위 안에서 다듬는 과정을 진행하였습니다.
마무리

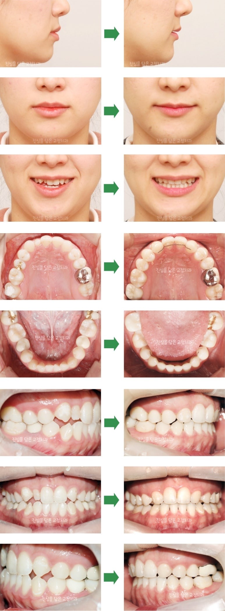
치료 결과 치아 배열이 가지런해졌고 좌우 대칭성도 확보했습니다. 그리고 처음보다 웃을 때 자연스러워졌는데요. 안정적인 어금니 교합을 만들고 위 아래 앞니 관계도 양호하게 개선하였습니다.
교정 치료 시작 전, 왼쪽으로 치우쳤던 치열 정중선이 안면 정중선과 일치하게 되면서 치열이 돌아간 느낌이 확연하게 개선됐습니다.
치료 전후 비교 사진

환자분께서는 2년 2개월의 치료 기간이 걸렸습니다.
일반적인 측절치 결손과 왜소치 케이스가 아니었기에 치료 난이도가 굉장히 어려웠습니다. 그러나 정면, 측면, 웃는 모습 전부 개선되어 자연스러워졌습니다.
결손된 치아에 맞게 측절치를 발치하고 작은 어금니를 발치하면서 치아 개수가 맞지 않고 크기 차이로 인해 정밀하게 교합을 맞추는데 많은 시간을 할애했는데요. 치료 결과, 가지런한 치아 배열과 안정적인 교합이 되어 매우 뿌듯하고 보람 있었습니다.
오랜 치료 기간 동안 저희와 함께 노력해주신 환자분께 다시 한번 감사드립니다. 앞으로도 까다로운 치료가 필요한 환자분들께 만족스러운 결과를 드릴 수 있도록 노력하는 진심을 담은 교정치과가 되겠습니다.
