안녕하세요. 진심을 담은 교정치과 이바울 원장입니다.
이번 시간에는 결손치를 포함되어 있는 환자분의 교정치료 케이스를 소개해드리려고 합니다.
결손치가 있는 교정치료는 일반적인 교정보다 난이도가 다소 높은 편입니다. 고려해야 할 요소가 많고 경우의 수도 여러가지로 나올 수 있기 때문입니다. 따라서 매우 신중하고 세심한 접근이 필요하죠.
계속해서 말씀드렸다시피 환자분마다 골격관계와 치열 및 교합관계와 얼굴 모습은 모두 다릅니다. 따라서 이에 맞는 최적의 치료 계획을 세워야 합니다. 그러나 결손치가 있다면 그 안에서도 고려해야 할 요소들이 추가됩니다.
사랑니를 제외하고 위에 14개, 아래 14개의 치아가 교합하여 맞물림 기능을 하게 되는데 치아가 결손되어 있다면 위아래 치아 개수가 달라지기 때문이에요. 안정적인 교합 형성에 대해서 충분한 고민이 필요한 것입니다.
오늘 소개해드릴 치료 사례는 "입이 나온 것 같고 이빨이 삐뚤어졌어요."라는 이유로 치료를 원하셨던 10대 환자분의 치료 케이스입니다.
초진 사진

환자분은 입이 나오고 치아가 삐뚤어졌다는 이유로 교정치료를 받고자 하셨습니다.
입안 검사를 해본 결과, 아래 앞니 1개가 선천적으로 결손된 상태였습니다. 송곳니와 송곳니 사이에는 앞니가 4개 있는 것이 정상인데요. 환자분은 3개만 존재하였습니다. 또한 위 왼쪽 측절치는 왜소치이며 형태도 불량하였습니다. 또한 얼굴 모습에서 돌출입 양상을 볼 수 있었습니다.
만약 결손치가 없었더라면 (위 14개, 아래 14개) 돌출입과 삐뚤어진 치아를 가지런하게 만들기 위하여 위아래 작은 어금니 2개씩 총 4개를 발치하였을텐데요. 하지만 환자분께서는 이미 아래 앞니 1개가 없는 상태였습니다. 또한 위 왼쪽 측절치는 왜소치였습니다. 따라서 신중한 판단이 필요하였습니다. 또한 위아래턱뼈의 관계는 정상범주였기에 치열 문제 해결을 통해 돌출입 개선이 필요하였습니다.
이를 바탕으로 환자분께 최대한 적절한 방향의 치료를 위해 종합적으로 분석하였습니다. 특히 결손치가 있는 경우 치료 방향을 결정하는데 여러가지 선택지가 존재하게 됩니다.
이번 환자분의 경우를 종합적으로 분석한 결과
1) 위 치열에서 첫 번째 작은 어금니 2개, 아래 치열에서 두 번째 작은 어금니 2개 발치
2) 왜소치는 원래 크기를 회복시켜 돌출입 개선
3) 이러한 과정을 통한 가지런한 치아 배열 도모
를 목표로 진행하기로 결정하였습니다.
진행 과정 1

1) 위 치열에서 2개의 작은 첫 번째 어금니, 아래 치열에서 2개의 두 번째 작은 어금니를 발치하였습니다.
이후 왜소치였던 위 왼쪽 측절치는 정상적인 치아 크기에 맞추어 레진으로 크기 회복을 진행하였습닌다. 그 이후 발치공간을 활용하여 치아를 가지런히 배열하였습니다.
진행 과정 2

2) 치아를 가지런히 만든 후 위 아래 치열의 발치공간을 메우며 돌출입을 개선하였습니다.
당연하게도 얼굴 모습은 1달 사이에 급격하게 바뀌지 않습니다. 다만 3-6개월 정도의 간격을 두고 처음 내원하셨을 때와 비교하면 돌출입이 어느 정도 개선하고 있는지 비교하여 확인할 수 있습니다. 그래서 저는 항상 환자분과 중간 평가를 하여 현재 얼굴 모습에 대해 어떻게 생각하시는지, 입을 더 넣고 싶은지 아니면 현재에 만족하시는지 여쭤보고 있습니다.
돌출입은 굉장히 주관적인 영역이며 환자분마다 개선하고자 하는 정도가 다릅니다. 따라서 충분한 의사소통이 없다면 저와 환자분 모두 만족하는 결과를 얻기 힘듭니다. 이후에는 발치공간을 메운 후 정밀한 교합을 맞추기 위해 마무리 작업을 진행하였습니다.
마무리

치아 배열이 가지런해졌으며 돌출입 또한 개선되었습니다. 이를 통해 입을 편안하게 다물 수 있게 되었죠. 또한 이상적인 스마일라인이 완성되었습니다. 치료 전에는 돌출입으로 인해 다소 화나 보이는 듯한 인상이었는데요. 교정치료 이후에는 돌출입이 개선되어 퉁명스러워 보이고 화난 인상이 매우 좋아졌습니다.
아래 앞니는 결손된 상태였기에 위에 위치한 4개 치아 중앙과 아래에 위치한 3개 치아의 중앙이 일치하는 형태의 교합을 형성하였습니다.
또한 치료 결과를 유지하기 위하여 위 아래 앞니 뒤쪽에 고정식 유지장치를 부착하였으며 끼고 빼는 것이 가능한 가철성 유지장치 사용 또한 병행하기로 하였습니다. 치료 전후 사진 비교해보겠습니다.
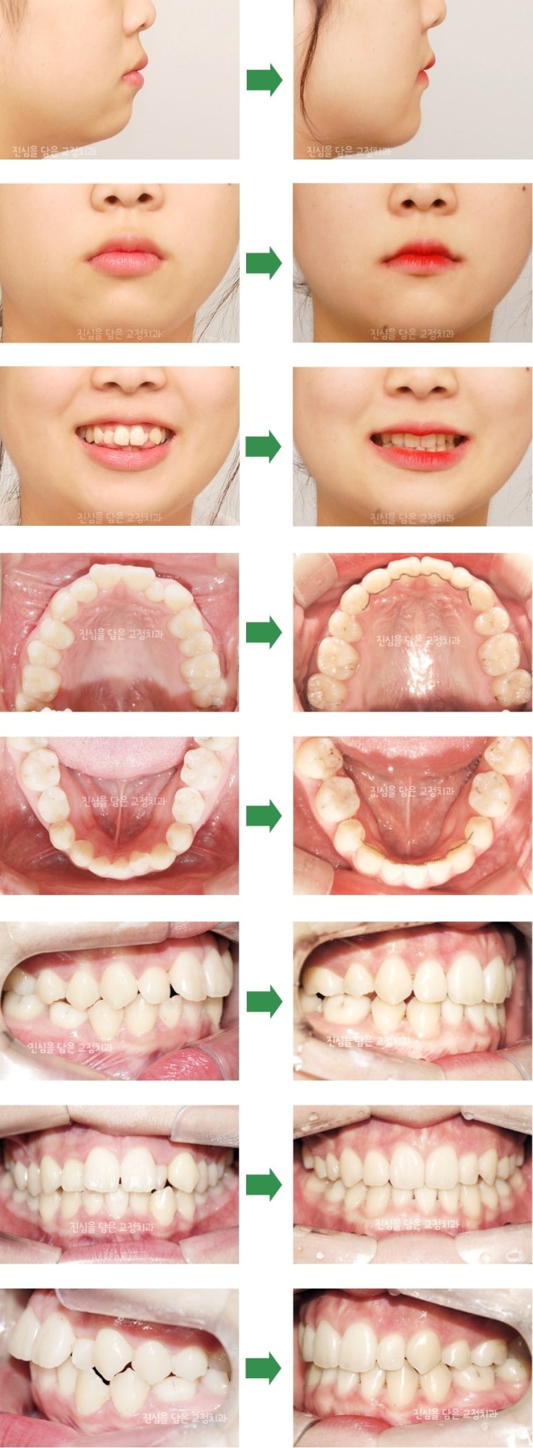
치료 전후 비교 사진

이번 환자분의 경우 총 2년 10개월의 치료 기간이 걸렸습니다.
위와 아래 각각 2개 총 4개의 작은 어금니를 발치하였으며 위 왼쪽 측절치는 왜소치였기에 치아의 크기와 비율을 고려하여 레진 이용으로 크기를 회복시켰습니다. 아래 앞니 하나가 결손된 상태는 그대로 수용하여서 위에는 총 12개의 치아, 아래는 총 11개의 치아로 교합을 형성하였습니다.
물론 치아 개수가 맞지 않기에 이상적인 교합달성은 불가능합니다.
그러나 비교적 양호하게 기능이 가능하도록 어금니 교합을 형성하였으며 위아래 앞니 관계도 맞추었습니다. 처음 내원 당시 돌출입이었던 상태 또한 지속적인 중간 체크로 치료 이후에는 돌출입도 많이 좋아지게 되었습니다. 또한 돌출입으로 퉁명스러워 보이던 인상도 매우 세련되고 자연스러운 모습으로 바뀌었으며 스마일라인 또한 좋아졌습니다.
발치공간을 이용하여 삐뚤했던 치아도 모두 가지런히 배열하였고 비교적 만족스러운 교합으로 마무리하였습니다. 이는 웃는 모습, 정면, 측면 모두에게서 확인할 수 있었습니다.
잘 마무리된 결과를 유지할 수 있도록 항상 노력하는 진심을 담은 교정치과가 되겠습니다.
