안녕하세요. 진심을 담은 교정치과 원장 이바울입니다.
오늘 소개해드릴 치료 케이스는 "앞니가 회전되고 치아 사이가 벌어졌어요."라는 이유로 인비절라인 라이트 치료를 진행하셨던 10대 환자 분의 사례입니다.
초진 사진

환자 분께서는 양쪽 위 앞니가 회전되어 있었고, 치아 사이가 정상 범주보다 많이 벌어져 있었습니다. 그리고 위 앞니가 뻐드러져서 위 아래 앞니의 전후방 간격도 굉장히 큰 편이었죠.
다행히 위아래턱뼈 사이 관계는 정상이었습니다. 또한 얼굴에서도 돌출감이 느껴지는 얼굴은 아니었습니다. 환자 분께서는 인비절라인 치료를 강력히 원하셨기에 인비절라인 라이트로 치료를 진행하기로 하였습니다.
Q. 성장기 아이들은 다 인비절라인 퍼스트로 치료하는 것 아닌가요?
글을 읽다보면 위와 같은 질문을 주실 수 있을 것 같은데요.
인비절라인 치료에는 유치가 남아있는지 여부와 예상 치료 기간, 장치 재제작 예상 횟수 등을 고려하여 인비절라인 퍼스트 / 인비절라인 라이트 / 인비절라인 컴프리헨시브로 나뉘어집니다.
유치가 남아 있는 상태에서, 예상 치료 기간이 1년 6개월 이내로 판단되면 인비절라인 퍼스트로 치료가 가능합니다. 그러나 인비절라인 라이트는 장치 재제작 횟수가 1번, 그리고 장치 갯수가 14개 이하로 예상되는 경우입니다. 인비절라인 컴프리헨시브는 모두 포괄하는 범위로 난이도가 더 높고, 장치 갯수도 많이 필요하며 치료 기간도 길 것으로 예상되는 경우에 선택하여 치료하게 됩니다.
이번 환자분은 유치가 모두 탈락한 상태였기에 인비절라인 퍼스트 치료는 진행이 되지 않는 상황이었습니다. 대신 인비절라인 라이트로 치료가 가능할 것으로 판단했기 때문에 인비절라인 라이트로 진행하였습니다.
진행 과정 1
1) 장치 도착 당일 레진을 이용하여 치아 표면에 어태치먼트 장치를 부착하였습니다.
해당 장치는 모든 치아에 부착하는 것은 아니며, 좋은 교합을 형성하기 위해 적절한 치아 이동이 잘 이루어지도록 도와줍니다. 그렇기에 치아 이동 정도에 따라 어태치먼트 부착 여부가 결정됩니다.
이 과정에서 장치의 장착 및 탈착 과정도 알려드렸으며, 인비절라인과 함께 교정용 고무줄 사용도 함께 병행하였습니다.
진행 과정 2
\
2) 회전된 앞니가 개선되었으며, 치아들이 잘 이동하였습니다.
환자 분의 장치 착용 협조도가 매우 좋아 계획한 대로 잘 개선되었습니다. 벌어진 치아 사이 공간도 모아져갔습니다.
3) 다만, 한 번 더 구강 스캔을 하여 장치 재제작을 진행하였습니다.
인비절라인은 첫 번째 계획 단계에서 완벽하게 끝나는 경우는 거의 없기 때문입니다. 인비절라인 라이트로 진행 시 재제작은 단 1번만 가능하기에 1번의 추가 제작 시 최대한 심혈을 기울여 치료 계획을 짜게 됩니다.
마무리
회전되었던 양쪽 위 앞니가 가지런해졌으며, 벌어졌던 위 아래 앞니 공간도 모두 모아졌습니다. 그리고 장치 두께만큼 떠있던 위 아래 어금니 부분도 잘 맞물리게 되었습니다. 위아래 치아 정중선도 일치되었습니다. 또한 앞니 뿐만 아니라 보이지 않는 어금니 교합까지 양호하게 잘 마무리 되었습니다.
치료 결과를 유지하기 위해 위 아래 앞니 뒤쪽에 고정식 유지장치를 부착하였으며, 끼고 빼는 것이 가능한 가철성 유지장치 사용도 병행했습니다.
이어 전후 사진을 비교해 확인해 보도록 하겠습니다.
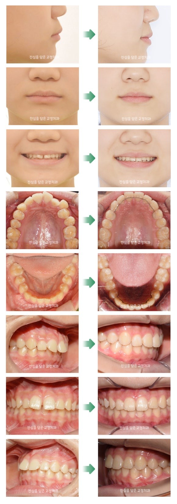
치료 전후 비교 사진
이번 환자 분께서는 총 1년 2개월의 교정치료 기간이 걸렸습니다.
치아들이 가지런하고 자연스럽게 배열되어 매우 심미적이고 이상적인 스마일라인을 보이는 것을 확인할 수 있는데요. 한번의 추가 장치 제작을 통해 계획했던대로 만족스러운 치료 결과를 얻을 수 있었습니다.
저희의 정확한 진단 및 치료 계획과 더불어 계획이 잘 구현될 수 있도록 장치를 잘 껴주신 환자 분께도 감사의 인사를 드립니다.
모든 치료를 국내 최고 권위의 대한치과교정학회 임상저널에 게재될 만큼 수준 높게 최선을 다하여 치료하겠습니다. 감사합니다.
