안녕하세요. 진심을 담은 교정치과 이바울 원장입니다.
교정을 생각하시는 분들 중에서는 아래턱이 튀어나와서 고민이신 분들이 정말 많습니다. 아래턱이 튀어나온 경우, 외적으로 고집이 있어 보이고 드세 보이는 등 좋지 않은 인상을 줄 수 있기 때문에 고민이신 분들이 더 많을 것 같아요. 또한 인상보다 더 문제 되는 것은 앞니로 음식을 끊어먹는 것이 힘들다는 것입니다. 이는 일상생활에서도 불편감을 유발할 수 있습니다.
게다가 앞니가 거꾸로 물리는 환자분들의 경우, 눈에 보이는 앞니 부분의 문제 외에도 여러가지 다른 문제들이 있는 경우가 많습니다. 특히 위 아래 악궁의 폭이 맞지 않는 경우가 종종 있죠. 이러한 문제가 있다면 치료의 확실한 마무리를 위해 반드시 문제를 해소해야 합니다.
사실 이런 부분은 환자분들께서는 인지하기 어렵습니다. 따라서 치과교정과 전문의가 책임감을 가지고 꼼꼼히 확인해야만 좋은 결과를 얻을 수 있습니다.
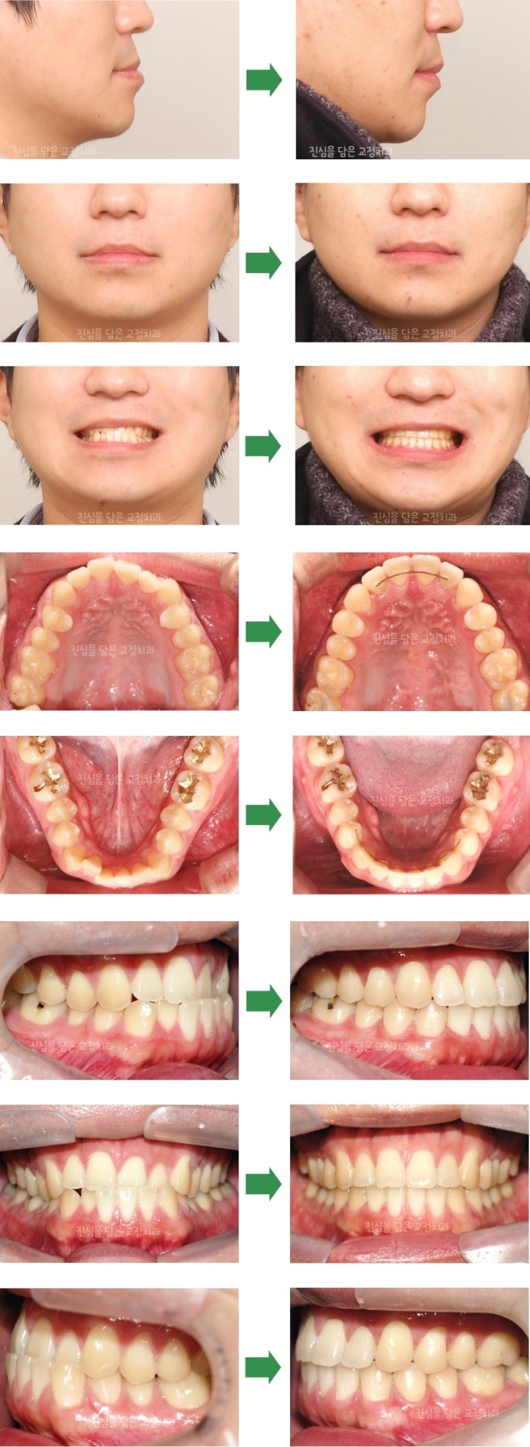
오늘 소개해드릴 케이스는 앞니가 거꾸로 물리고 치아가 삐뚤어진 30대 환자분의 치료 사례입니다.
초진 사진

치아가 삐뚤어지고, 앞니가 거꾸로 물리는 것 때문에 진심을 담은 교정치과를 찾아주신 환자분입니다. 비수술 치료를 통해 치아가 바로 물리게 되었으면 좋겠다고 말씀해주셨습니다.
얼굴 모양으로 판단했을 때는 수술 없이도 충분히 개선이 가능해 보였습니다. 앞니의 위쪽 라인이 좌우가 비대칭이었으며, 아래 악궁이 상대적으로 좁아보였습니다.
실제로 환자분의 얼굴 모양, 교합, 위와 아래턱의 관계 등을 종합적으로 확인한 결과, 위 악궁의 확장이 필요했고, 수술 없는 치료만으로도 앞니가 바로 물리게 하고 치열을 가지런히 할 수 있다는 결론을 내렸습니다. 따라서 위 악궁의 확장장치, 스크류, 브라켓 등 다양한 방법을 동원해서 치료를 진행했습니다.
▶ 아래 악궁이 좁아져 있는데 왜 위 악궁을 확장하나요?
치료를 진행하게 되면 좁아져 있던 아래 악궁은 크기가 정상화되며 자연스럽게 넓어집니다. 위 악궁은 아래 악궁에 비해 정상적으로 2~3mm 가량 커야 합니다.
따라서 지금 현재의 관계만을 가지고 판단하지 않고, 치료 후를 예측해서 정상화 될 아래 악궁에 맞게 위 악궁을 확장해야 좋은 결과를 얻을 수 있습니다.
진행 과정 1

1) 좁았던 아래턱이 치료 후에는 정상적인 악궁 형태를 회복합니다.
그렇기에 정상화될 아래 악궁에 맞도록 위 악궁을 확장시켜야 합니다. 따라서 골격적인 확장을 위해 입천장에 교정용 스크류 4개를 식립했습니다.
또한 위 아래 앞니의 관계 개선을 위해서는 전체적으로 아래 치열을 후방으로 이동시켜야 합니다. 따라서 아래 양쪽에는 2개의 교정용 스크류를 식립했습니다.
진행 과정 2

2) 가지런해진 위 아래 치열을 볼 수 있으며, 앞니가 바로 물리게 되었습니다.
앞니와 어금니 위치도 정상적으로 맞게 되어 잇몸 라인도 한결 자연스러워졌습니다. 치열 정중선도 일치해져서 매우 만족스러운 위아래 교합이 완성되었습니다.
마무리

비수술 교정을 위해 내원하셨기 때문에 수술을 동반하지 않았습니다. 때문에 아래턱뼈의 길이는 바뀌지 않았습니다. 그러나 앞니가 똑바로 물리게 되면서 위아래 입술에서 아래턱 끝까지 라인이 보다 자연스러워졌습니다.
치료 전후 비교 사진

이번 환자분께서는 1년 2개월의 치료 기간이 걸렸습니다.
눈으로 볼 수 있는 앞니 부분뿐만 아니라 보이지 않는 어금니의 교합까지 잘 맞게 되었습니다. 위 앞니의 잇몸라인도 좌우 비대칭이었으나 자연스럽게 대칭으로 개선되었습니다. 아래 입술의 위치가 개선되어 주걱턱 같았던 옆모습이 자연스러워졌습니다.

앞니의 교합이 좋아지고 치열이 가지런해졌습니다.
결과에 대한 정확한 예측과 세밀한 치료 계획을 바탕으로 만족스럽고 좋은 치료 결과를 얻을 수 있었습니다.
입천장에 4개나 되는 교정용 스크류를 식립하는 확장장치도 열심히 사용하시고, 스크류를 아래쪽에도 식립하는 치료가 필요해 환자분이 많이 고생하셨습니다. 그만큼 좋은 결과를 얻게 되어 저희 모두에게 의미있는 치료 여정이었습니다.
치료 기간 동안 함께 노력해주시고 저희를 믿어주셔서 다시 한번 감사드립니다. 모든 분들께서 만족하실 수 있는 결과를 얻을 수 있도록 더욱 노력하겠습니다. 감사합니다.
