안녕하세요. 진심을 담은 교정치과 원장 이바울입니다.
이번 시간에는 발치교정을 통해 삐뚤한 치아와 돌출입을 동시에 개선한 케이스를 소개해드리려고 합니다.
돌출입과 덧니는 많은 분들이 교정치료를 결심하시는 대표적인 이유이기도 합니다. 돌출입을 개선하기 위해서는 공간이 필요하며, 덧니를 개선하기 위해서도 공간이 필요합니다. 따라서 이 두 가지를 모두 개선하기 위해서는 더 많은 공간이 필요하며, 치아를 뽑고 교정치료를 해야 할 가능성이 높아집니다.
물론 각자 위 아래턱뼈의 골격 관계, 얼굴 모습, 교합 관계는 모두 다르기 때문에 전문가의 정확한 진단을 바탕으로 발치 여부를 최종적으로 결정하여야 합니다.
오늘 소개해 드릴 치료 케이스는 "앞니가 나비치아처럼 회전되었고, 입이 나왔어요"라는 이유로 교정치료를 진행하셨던 20대 환자분의 치료 케이스입니다.
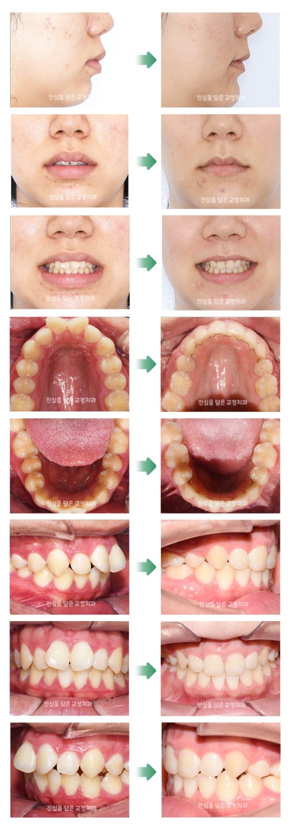
초진 사진

환자분은 흔히 나비치아라고 불리는 위 양쪽 대문니가 회전된 치아를 가지고 계셨습니다. 치아가 삐뚤어져 있는데, 입도 나와보여서 이를 개선하기 위해 교정치료를 원하셨습니다. 또한 골격적으로 아래턱이 다소 후방에 위치해 있었습니다. 위 아래 앞니는 다소 삐뚤어졌으며, 위 아래 앞니의 전후방 간격이 컸습니다. 얼굴에는 돌출감이 보였습니다.
환자분의 얼굴 모습, 위턱과 아래턱의 관계, 교합 등을 종합적으로 분석하여 공간을 평가한 결과, 삐뚤어진 치아를 가지런하게 함과 동시에 돌출입을 개선하기 위해서는 발치교정이 필요하였습니다. 따라서 위에서는 두 개의 첫 번째 작은 어금니를, 아래에서는 두 개의 두 번째 작은 어금니를 발치, 총 4개의 치아 발치가 계획되었습니다.
발치와 더불어 여러 개의 교정용 스크류를 식립하여 돌출입 개선을 도모하고자 하였습니다. 발치를 통해 얻은 공간으로 우선 치아를 가지런하게 만든 후, 남아있는 공간은 돌출감을 개선하는데 활용하기로 하였습니다.
진행 과정 1

1) 위 아래 교정장치를 부착하였습니다.
이후 위에서 첫 번째 작은 어금니 2개, 아래에서는 두 번째 작은 어금니 2개를 발치하였고, 교정용 스크류도 식립하였습니다.
이를 뽑은 자리를 이용하여 위 아래 치아를 가지런하게 배열하여 나비치아를 개선하였습니다. 배열 후 남은 공간은 돌출감을 개선하는데 사용하였습니다.
진행 과정 2

2) 돌출입 개선을 위해 앞니를 발치 공간으로 이동시켰습니다.
이 과정에서 환자분과 중간 평가를 통해 현재의 얼굴 모습에 대해 어떻게 생각하시는지, 입을 더 넣고 싶은지 아니면 현재의 모습이면 만족하시는지 등에 대해 소통을 하며 발치 공간을 메워나갔습니다.
돌출입은 주관적으로, 환자분이나 보호자마다 개선 정도에 대한 기준이 다릅니다. 따라서 충분한 의사소통이 없다면 저와 환자분 모두가 만족하는 결과를 얻을 수 없습니다.
위 아래 작은 어금니를 발치했던 공간은 치아를 이동시켜 모두 메웠습니다. 또한 조금 더 정밀한 교합을 맞추기 위해 마무리 작업을 진행하였습니다.
마무리

치료 결과, 가지런하지 않고 나비치아였던 위 아래 치아가 가지런해졌습니다. 또한 돌출입도 개선되었습니다. 위 아래 정중선이 일치해졌으며, 안정적인 교합이 형성되었습니다. 추가로 스마일라인도 이상적으로 개선되었습니다. 교정치료 전 화가 난 듯한 그리고 퉁명스러워 보이는 인상이 매우 자연스러워졌습니다.
치료 결과를 유지하기 위해 위 아래 앞니 뒤쪽에 고정식 유지장치를 부착하였으며, 끼고 빼는 것이 가능한 가철성 유지장치 사용도 병행하였습니다. 전후 사진 비교하여 확인해 보겠습니다.
치료 전후 비교 사진

해당 환자 분은 1년 11개월의 교정치료 기간이 걸렸습니다.
충분한 의사소통을 통해 환자분이 원하는 정도로 돌출입이 개선되었으며, 치아도 가지런하게 배열되었습니다. 치료 전후 옆 얼굴 모습을 보면, 돌출입이 개선된 것을 볼 수 있었습니다. 기존에는 웃을 때 위 앞니가 회전되어 나비치아 배열이 보였는데 치료 후 치아들도 가지런하게 배열되었습니다.
환자분이 눈으로 직접 확인할 수 있는 앞니 부분 뿐만 아니라, 보이지 않는 어금니 부분 교합까지 잘 맞추기 위해 노력하였습니다.
치아도 4개 발치하고, 교정용 스크류도 추가로 식립하여 치료를 받느라 너무 고생하셨습니다. 치료 기간 동안 저희를 믿고 같이 노력해 주신 환자분께 다시 한번 감사드립니다.
잘 마무리 된 교정치료를 잘 유지할 수 있도록 더욱 노력하는 진심을 담은 교정치과가 되겠습니다. 감사합니다.
