안녕하세요. 진심을 담은 교정치과 원장 이바울입니다.
이번 글에서는 삐뚤한 치아와 돌출입을 동시에 개선한 케이스를 소개해 드리고자 합니다. 삐뚤한 치열은 돌출입과 함께 환자분들이 교정치료를 결심하는 대표적인 이유 중 하나입니다.
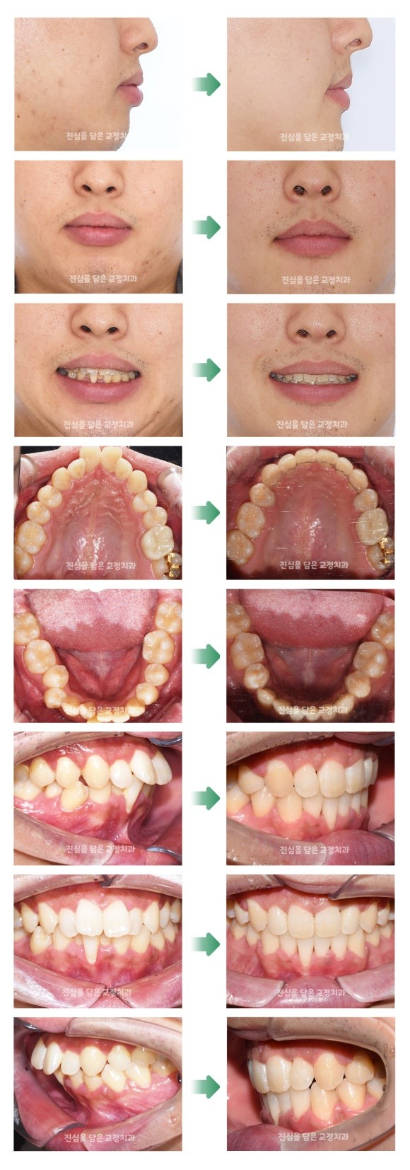
오늘 소개해드릴 케이스는, "이가 심하게 삐뚤어졌어요"라는 이유로 교정치료를 진행하셨던 30대 환자분의 치료 케이스입니다.
초진 사진

환자분은 삐뚤어진 치열이 가지런하게 되었으면 하고 말씀해주셨습니다.
특히 아래 앞니 1개는 앞으로 밀려나가 있고, 치아들이 많이 삐뚤어져 있다보니 양치 관리에 어려움을 겪고 계셨습니다. 앞으로 밀러나간 치아의 잇몸은 내려간 상태였고, 삐뚤한 치아들은 양치가 잘 되지 않았으며, 치석도 많이 쌓여 잇몸이 부어 있는 상태였습니다.
치아가 많이 삐뚤어져 있는 경우, 아무리 양치질을 열심히 해도 놓치는 부분이 훨씬 많이 발생합니다. 잇몸도 자주 붓고 잇몸뼈도 약해지기 쉽습니다. 해당 환자분께서도 이러한 상황이었습니다. 위 아래 치아가 삐뚤어졌으며, 위 앞니는 앞으로 뻐드러진 상태였습니다. 그리고 얼굴 모습에서는 아랫 입술이 불룩하고 뒤집어진 양상을 보였습니다.
환자분의 얼굴 모습, 위턱과 아래턱의 관계, 교합 등을 종합적으로 분석하여 공간을 평가하였습니다. 그 결과, 삐뚤어진 치아를 가지런함과 동시에 입술라인을 개선하기 위해서는 발치교정이 필요하였습니다.
위에서는 두 개의 첫 번째 작은 어금니를, 아래에서도 두 개의 첫 번째 작은 어금니를 발치하여 총 4개의 치아 발치가 계획되었습니다. 더불어 교정용 스크류를 식립하여 치아를 가지런하게 함과 동시에 입술라인의 개선을 도모하고자 하였습니다.
진행 과정 1

1) 위 아래 교정 장치를 부착하였습니다.
위 아래 양쪽 첫 번째 작은 어금니를 발치하여 치아를 가지런하게 배열하기 시작하였습니다. 발치 공간을 이용하여 치아들을 가지런하게 배열한 후 남은 공간은 돌출입을 개선하기 위해 활용하였습니다. 앞니를 남아있는 공간으로 이동시켜 메워나갔습니다.
진행 과정 2

2) 치아를 이동시켜 공간을 서서히 메워나갔습니다.
우선 발치를 통해 확보한 공간은 치아를 가지런하게 만드는데 우선적으로 사용되었습니다. 또한 남은 공간은 입술라인 개선을 위해 앞니를 발치 공간으로 이동시켰습니다.
환자분과 중간 평가를 하여 현재의 얼굴 모습에 대해 어떻게 생각하시는지, 입을 더 넣고 싶은지 아니면 현재의 모습에 만족하시는지 등 다양한 소통을 하며 발치 공간을 메워나갔습니다.
공간을 모두 메운 후 조금 더 정밀하게 교합을 맞추기 위해 마무리 작업을 진행하였습니다.
마무리

교정치료 결과, 심하게 삐뚤어져 있던 치아들이 가지런하게 배열되었습니다. 뻐드러졌던 위 앞니 각도가 개선되었으며 불룩하고 뒤집어진 양상을 보이던 아랫입술의 라인도 양호하게 개선되었습니다. 교정치료 전 화가 난 듯한 그리고 퉁명스러워 보이는 인상이 아주 자연스러워졌습니다.
치료 결과를 유지하기 위해 위 아래 앞니 뒤쪽에 고정식 유지장치를 부착하였으며, 끼고 빼는 것이 가능한 가철성 유지장치 사용도 병행하였습니다. 전후 사진 비교해서 확인해보겠습니다.
치료 전후 비교 사진

이번 환자분은 총 1년 10개월의 시간이 걸렸습니다.
환자분이 눈으로 직접 확인할 수 있는 앞니 부분 뿐만 아니라, 보이지 않는 어금니 부분 교합까지 잘 맞추기 위해 노력하였습니다. 다만 처음 오셨을 때 내려가 있던 아래 앞니 잇몸은 치료 후 잇몸이 내려간 상태를 그대로 유지가 된 상태입니다.
성장기 아동인 경우, 어느 정도의 회복을 기대할 수 있지만 성인인 경우에는 한 번 내려간 잇몸의 회복은 쉽지 않습니다. 특히 성인의 경우 내려간 잇몸 뿐만 아니라 블랙 트라이앵글 등 잇몸 반응에서 성장기 아이들에 비해 불리한 점이 있습니다.
그럼에도 불구하고, 현재는 가지런한 치아배열 및 양치 관리 덕분에 잇몸이 붓거나 치석이 많이 붙어 있었던 과거의 모습은 찾아볼 수 없었습니다.
저는 항상 제가 만들어드린 교합으로 환자분께서 평생 살아간다는 점을 기억하며 책임감을 가지고 마무리 과정에 더욱 심혈을 기울이고 있습니다. 깔끔하게 형성된 교합 뿐만 아니라 교정치료 후 활짝 웃는 환자분의 미소를 보니 저 역시 뿌듯한 마음입니다.
치아도 4개나 발치하고, 교정용 스크류을 추가로 식립하고 치료를 받으시느라 너무 수고많으셨습니다. 치료 기간 동안 저희를 믿고 함께 노력해주신 환자분께 다시 한 번 감사의 인사를 드립니다.
잘 마무리 된 결과를 유지할 수 있도록 더욱 노력하는 진심을 담은 교정치과가 되겠습니다. 감사합니다.