진심을 담은 치과교정과 치과의원 진심을 담은 치과교정과 치과의원

Clinical case

임상사례

이전으로이전으로

안녕하세요. 진심을 담은 교정치과 원장 이바울입니다. 

 

이번에 소개해드릴 케이스는 "위 아래 앞니가 삐뚤어졌어요."라는 이유로 교정치료를 진행하셨던 30대 환자분의 부분 교정 사례입니다.

 

 

초진 사진

 


 

환자분께서는 위 아래 앞니가 가지런하지 않아 교정치료를 원하셨습니다. 

 

아래는 양쪽 송곳니가 회전되어 있었는데요. 사실 송곳니를 회전시키기 위해서는 공간이 많이 필요해 일반적으로는 부분교정보다 전체교정으로 진행합니다. 그러나 해당 환자분은 임플란트도 있었고, 치료 받은 부위도 있었습니다.

 

게다가 얼굴 모습에서는 돌출감이 전혀 없었고, 임플란트와 다수 보철물이 현재 물리는 관계에 맞춰 오랜 기간 사용한 상태였습니다. 따라서 어금니 교합은 최대한 유지해야 하는 상황이었습니다.

 

따라서 위 아래 앞니 부분 교정으로 치료를 진행하기로 하였습니다.

 

 

진행 과정 1

 


 

1) 위 아래 앞니에 미니튜브라는 장치를 부착하였습니다.

 

치아가 가지런하게 배열되기 위해서는 공간이 필요하기에, 치아 사이 옆면을 다듬어 배열 공간을 확보하였습니다. 이는 공간 확보 목적 뿐만 아니라 삐뚤어진 치아를 가지런하게 했을 때 필연적으로 발생하게 되는 블랙 트라이앵글을 최소화 시키기 위함입니다.

 

 

진행 과정 2

 


 

2) 위 아래 앞니 관계를 조금 더 조절하기 위해 계속해서 치료를 진행하였습니다. 시간이 지남에 따라 치아들이 가지런하게 배열되었습니다.

 

 

마무리

 


 

치료 결과, 위 아래 앞니가 가지런하게 배열되었습니다. 블랙 트라이앵글도 최소화시켜 마무리하였습니다. 삐뚤어진 치아를 가지런하게 할 때 성인 환자분들은 이 블랙 트라이앵글이 100% 발생하게 됩니다. 따라서 가능한 범위 내에서 최소화시켜 마무리하였습니다.

 

치료 결과를 유지하기 위해 위아래 앞니 뒤쪽에 고정식 유지 장치를 부착하였으며, 가설성 유지 장치 사용도 병행하였습니다. 이어 전후 사진 비교해 보도록 하겠습니다.

 

 

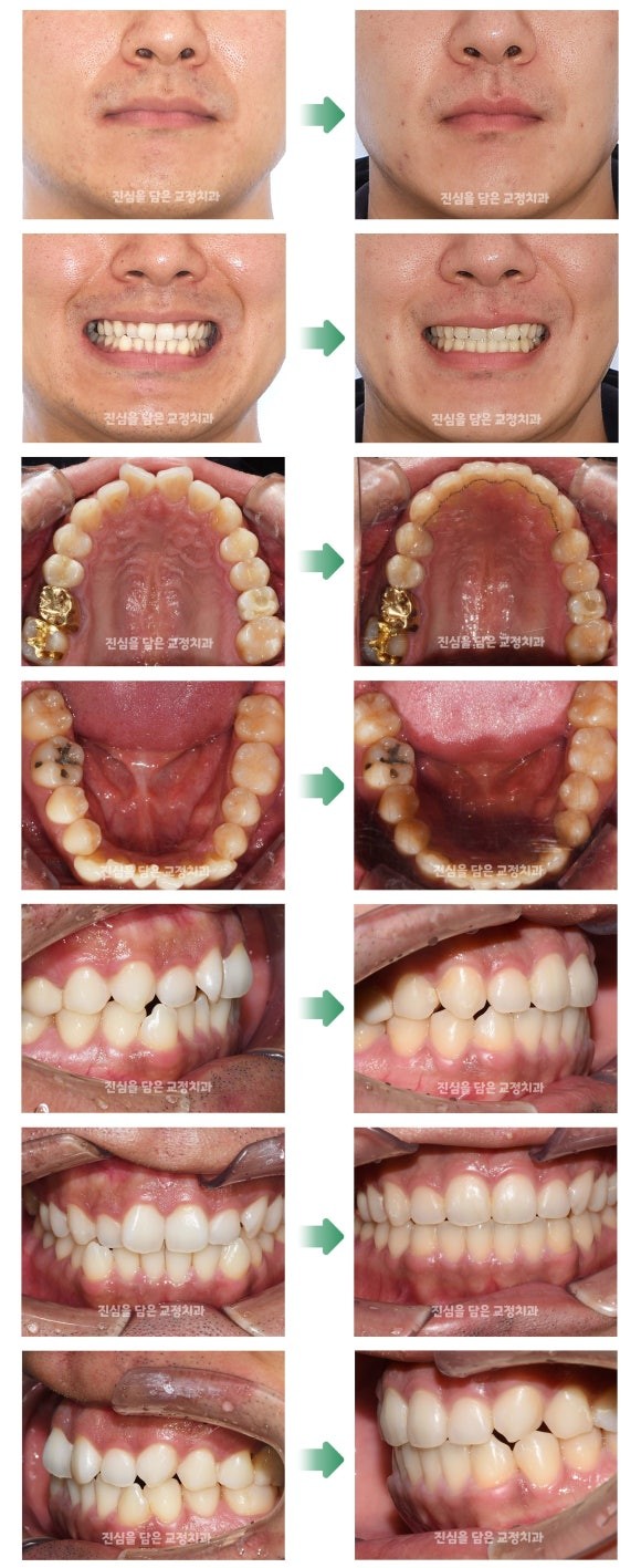
치료 전후 비교 사진

 


 

 

해당 환자분의 교정 치료 기간은 총 1년 5개월이 소요되었습니다.

 

부분교정으로 치료하기에는 난이도가 있었던 사례였기에, 일반적인 부분교정이 6~10개월 정도 소요되는 것이 비하여 다소 치료 기간이 길어졌습니다. 치료 기간이 길어졌지만, 삐뚤어졌던 위 아래 앞니는 가지런하게 배열되었습니다.

 

특히 아래 양쪽 회전되었던 송곳니의 회전이 개선되어 바르게 배열되었습니다. 또한 어금니 교합은 그대로 잘 유지되어 불편감 없이 치료를 마무리하였습니다. 앞니 교합 관계도 많이 좋아졌으며, 웃을 때 스마일라인도 이상적으로 개선되었습니다.

 

좋은 교정치료 결과를 앞으로도 쭉 유지할 수 있도록 더욱 노력하는 진심을 담은 교정치과가 되겠습니다. 감사합니다.

 

 


 

목록