안녕하세요. 진심을 담은 교정치과 원장 이바울입니다.
이번 글에서 소개해드릴 치료 케이스는 "위 앞니가 회전되어 있고, 아래 앞니가 삐뚤어졌어요"라는 이유로 교정치료를 진행하셨던 30대 환자분의 사례입니다.
초진 사진

환자분께서는 위 앞니가 회전되어 있었고, 아랫니가 삐뚤어져서 교정치료를 원하셨습니다.
검진을 했을 때 위 앞니는 회전되기도 했고, 끝부분이 닳아서 경사진 양상을 보였습니다. 그러나 어금니는 좋은 교합 관계를 가지고 계셨기에, 어금니를 굳이 교정할 필요는 없는 상태였습니다. 또한 삐뚤어진 정도가 많이 심한 편은 아니었습니다. 따라서 위 아래 앞니 부분 교정으로 치료가 가능하였습니다.
교정 치료 마무리 후 닳아있는 위 앞니 끝부분은 매끈하게 다듬어드리기로 하였습니다.
진행 과정 1

1) 위 아래 앞니에 미니튜브 장치를 부착하였습니다.
치아 사이 옆 면을 다듬어 공간을 만들어, 치아를 가지런하게 배열하며 블랙 트라이앵글도 최소화 시키고자 하였습니다.
진행 과정 2

2) 시간이 지남에 따라 치아들이 가지런하게 배열되어 가고 있습니다.
마무리

치료 결과 위 아래 앞니가 가지런하게 배열되었습니다. 블랙트라이앵글도 최소화시켜 마무리하였습니다.
삐뚤어진 치아를 가지런하게 만들 때 성인 환자분들은 이 '블랙 트라이앵글'이 100% 발생하게 됩니다. 따라서 가능한 범위 내에서 최소화 시켜 마무리하였습니다. 또한 회전이 개선된 위 앞니의 끝부분은 매끈하게 다듬어드렸습니다.
치료 결과를 유지하기 위해 위 아래 앞니 뒤쪽에 고정식 유지 장치를 부착하였으며, 가철성 유지장치 사용도 병행하였습니다. 이어 전후 사진을 비교해 확인해 보도록 하겠습니다.
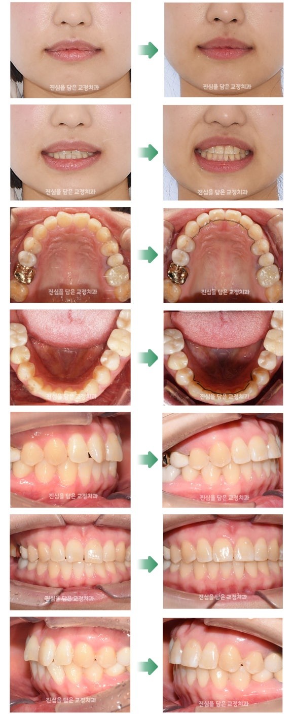
치료 전후 비교 사진

이번 환자분께서는 총 9개월의 교정 기간이 걸렸습니다.
삐뚤어졌던 위 아래 앞니는 가지런하게 배열되었습니다. 부분교정으로 치료하였기에 어금니 교합은 그대로 잘 유지되고 있습니다. 앞니 교합 관계도 많이 좋아졌으며, 웃을 때 스마일라인도 이상적으로 개선되었습니다.
위 앞니가 회전된 부분 뿐만 아니라 앞니 끝 부분이 비스듬하게 닳아있던 부분도 매끈하게 개선되었습니다.
잘 마무리된 결과를 앞으로도 쭉 유지할 수 있도록 더욱 노력하는 진심을 담은 교정치과가 되겠습니다. 모든 치료를 국내 최고 권위의 대한치과교정학회 임상저널에 게재될 만큼 수준 높게 최선을 다하여 치료하겠습니다. 감사합니다.
