진심을 담은 치과교정과 치과의원 진심을 담은 치과교정과 치과의원

13년 경력, 교정전문의 진료

13여 년간 묵묵히 한 길만,
치아 교정은 누구보다 자신 있습니다.

비수술 / 고난이도 / 비발치 교정
환자가 꿈꾸는 결과를 실현합니다.

진료 예약하기예약하기
JINSIM DENTAL

13년 경력, 교정전문의 진료

창원, 전라도, 제주도 등
타지에서도 찾아오는 이유?

13년 경력, 교정전문의 진료

실제 환자 후기
결과로 말씀드립니다.

13년 경력, 교정전문의 진료

진심을 담은 치과교정과 치과의원
네 가지 차별점

POINT01

인비절라인 명예의 전당으로
불리는 글로벌 갤러리 등재

전 세계 160여 개 국가에서 치료한 인비절라인 교정증례 중
우수하게 치료된 증례를 심사하여 게시하는 글로벌 사이트로
‘인비절라인 명예의 전당'에 등재되었습니다.

참고 이미지
POINT02

꾸준한 연구와 노력의 결과,
9년 연속 포스터 등재

환자분들께 더 나은 치료 결과를 제공해드리기 위해
2016년부터 매년 대한치과교정학회 국제학술대회에서
포스터 발표를 하고 있습니다.

참고 이미지
POINT03

최고가 되기 위한 전문성,
총 8번의 임상저널 등재

2016년 2편, 2013년 1편, 2018년 1편, 2019년 1편,
2021년 1편, 2022년 1편에 이어 2024년 8번째 논문이
임상저널에 등재되었습니다.

참고 이미지
POINT04

교정과 레지던트의 길잡이,
부산대학교 전공의 대상 강의

난이도가 높은 케이스에 대하여 비수술 교정으로
치료한 사례를 인정받아 부산대학교의 예비 교정과
전문의를 대상으로 강의를 진행하고 있습니다.

참고 이미지

13년 경력, 교정전문의 진료

교정전문의 중에서도
최고 수준을 목표로 합니다.

저를 믿고 소중한 치아 교정을 맡겨주신 환자분들의 신뢰에 보답하기
위해 지난 13년간 쉼 없이 고민하고 연구하며 최선을 다해왔습니다.

그 노력의 결실로 9년 연속 대한치과교정학회 포스터에 등재되었고,
전 세계에서도 단 0.01%만이 선정되는 인비절라인 글로벌 갤러리에
이름을 올릴 수 있었습니다.

하지만 저의 여정은 아직 끝나지 않았습니다. 단 1%의 더 나은 결과를 위해,
그리고 환자분들의 더 밝은 미소를 위해 앞으로도 멈추지 않고 연구하고
정진할 것을 약속드립니다.

믿음에 진심으로 감사드리며, 그 믿음에 걸맞게 결과로 보답하겠습니다.

사인
이바울 원장님 진료 사진

13년 경력, 교정전문의 진료

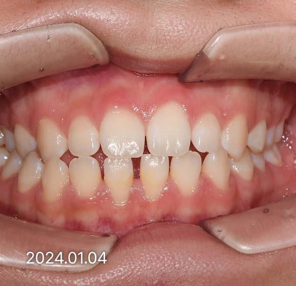
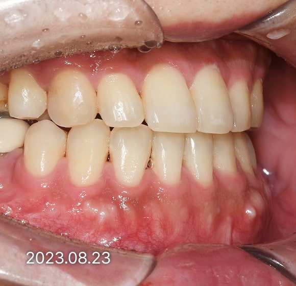
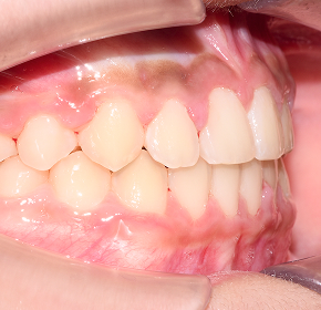
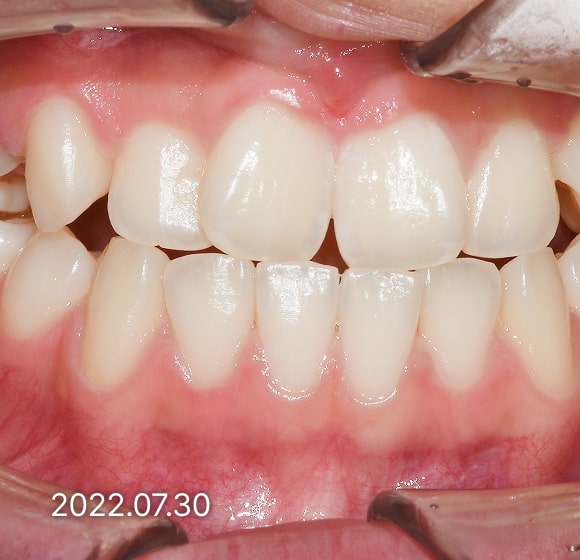
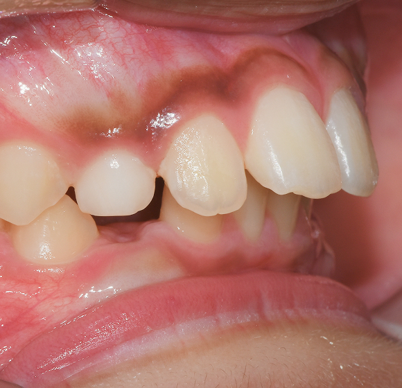
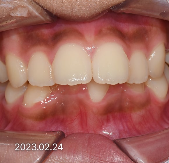
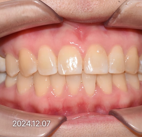
BEFORE / AFTER
전후 변화로 보는 치료사례

본 사진은 진심을담은치과교정과 치과의원에서
치료한 환자의 동일 인물 전·후 사진입니다.
개인의 구강 상태 및 관리 방법에 따라 통증 및 잇몸 염증,
턱관절 불편감 등의 부작용이 발생할 수 있습니다.
치료사례 바로가기바로가기
치료 전 치료 후

덧니, 삐뚤한 치열

치료 전 치료 후

돌출입

치료 전 치료 후

반대교합(비수술)

치료 전 치료 후

성장기 교정

치료 전 치료 후

과개교합

치료 전 치료 후

개방교합

치료 전 치료 후

치열공간, 벌어진 앞니

치료 전 치료 후

매복치아

치료 전 치료 후

악교정 수술 교정

치료 전 치료 후

결손치

치료 전 치료 후

부분교정

치료 전 치료 후

인비절라인

13년 경력, 교정전문의 진료

진료과목

체크

연령별 교정치료

  • 성장기, 청소년 교정
  • 성인 심미 교정
  • 시니어 (중장년 교정)
체크

증상별 교정치료

  • 덧니, 돌출입 교정
  • 앞니 벌어짐 교정
  • 과개교합, 개방교합 교정
  • 수술교정 (주걱턱, 무턱, 비대칭)
  • 매복치 교정
체크

장치별 교정치료

  • 투명교정 (인비절라인, 인비절라인 퍼스트)
  • 설측교정
  • MTA 교정 / 부분교정
  • 메탈, 세라믹 브라켓 교정
  • 성장조절장치

13년 경력, 교정전문의 진료

희망을 만들어 가는 공간

치유와 안락함이 공존하는 곳에서
환자분의 새로운 아름다움을 만들어 갑니다.

병원 내부 사진
병원 내부 사진
병원 내부 사진
병원 내부 사진
병원 내부 사진
병원 내부 사진
병원 내부 사진
병원 내부 사진

13년 경력, 교정전문의 진료

치아교정에만 집중하는 곳,
미남역에 있습니다.

상담전화

051 - 555 - 8575
진료 예약하기 예약하기

진료시간

  • 월 - 금오전 9:30 ~ 오후 6:30
  • 목요일오후 2:00 ~ 오후 6:30
  • 토요일오전 9:00 ~ 오후 1:00
  • 점심시간오후 12:30 ~ 오후 2:00

*주말은 점심시간 없이 진료합니다.

13년 경력, 교정전문의 진료

대표원장이 직접 답변드립니다

보통 만 7세 전후에 첫 검진을 권장합니다. 그러나 턱 성장 문제,
반대교합 등의 특정한 경우에는 5세부터 교정 치료가 필요할 수도 있습니다.

정확한 치료 시작 시점은 아이의 성장 단계, 치아 상태, 교정 목표에 따라
달라질 수 있기 때문에 검진을 통해 적절한 시기를 결정하는 것이 중요합니다.

안면비대칭은 치아교정만으로 해결할 수 있는 경우과 그렇지 않은 경우로 나뉩니다.
비대칭의 원인과 심각도에 따라 치료 방법이 달라질 수 있으므로, 정밀한 진단과 상담을
통해 치료의 방향성을 잡는 것이 중요합니다.

치아 배열뿐 아니라 얼굴의 형태에도 영향을 줄 수 있습니다.
교정으로 인한 변화는 교정의 종류, 교정 전의 상태, 골격 문제
유무에 따라 다릅니다.

교정을 통해 얼굴의 비대칭을 완화할 수 있지만 오히려
비대칭이 도드라져 보이는 결과를 초래할 수도 있습니다.
그렇기에 교정 전 정밀한 진단이 매우 중요합니다.

비발치 교정이 가능한 경우라면 자연 치아를 보존하며 얼굴의 조화를
유지할 수 있는 장점이 있지만, 모든 환자에게 적합하지는 않습니다.

치아와 턱뼈 상태, 얼굴 형태, 환자의 기대치 등을 고려하여
발치와 비발치 중 최적의 치료 방법을 결정하는 것이 중요합니다.

인비절라인은 효과적인 교정 방법이지만
환자의 꾸준한 착용과 관리가 필수적입니다.

치료 효과를 극대화하기 위해 착용 방법과 관리법을 정확히 숙지하고,
정기적인 검진을 통해 치료 과정을 점검하는 것이 중요합니다.